
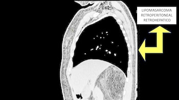
Ana Llacsaguache García, piurana de 41 años, experimentó un cambio radical en su vida tras someterse a una intervención de alta complejidad en el Hospital Nacional Almanzor Aguinaga Asenjo. Un equipo multidisciplinario logró extirparle un tumor maligno de aproximadamente cinco kilos, ubicado en la zona retroperitoneal y con un diámetro cercano a los 25 centímetros. Esta masa comprimía estructuras vitales entre el hígado y el riñón derecho, lo que ponía en riesgo inminente la vida de la paciente.
Durante tres años, la paciente soportó un dolor abdominal persistente que afectaba su rutina diaria y su bienestar general. Los síntomas, cada vez más intensos, motivaron su derivación al hospital de Essalud en Chiclayo, donde exámenes especializados confirmaron la presencia de un liposarcoma de grado 1.
PUBLICIDAD
La localización y el tamaño del tumor convertían la operación en un reto médico de máxima exigencia, ya que cualquier error podía comprometer órganos esenciales.
La cirugía, que se extendió por más de cinco horas, fue liderada por el jefe del Departamento de Cirugía, doctor Juan Rodríguez Terrones. El especialista detalló que la extracción requirió una técnica precisa, debido a la fuerte adherencia del tumor a órganos y vasos sanguíneos fundamentales.
PUBLICIDAD

“El mayor desafío fue retirarlo sin provocar daños colaterales que pusieran en peligro la recuperación de la paciente”, subrayó Rodríguez Terrones, poniendo en valor el trabajo coordinado y la pericia del equipo quirúrgico.
El gerente del hospital, Fernando del Valle Espejo, resaltó que este logro refleja la capacidad resolutiva de la institución para afrontar patologías complejas. Según indicó, el centro cuenta con personal altamente especializado y tecnología avanzada, factores clave para el desarrollo exitoso de este tipo de procedimientos.
PUBLICIDAD
La intervención se inscribe en el compromiso de EsSalud de ofrecer respuestas eficaces a pacientes con necesidades críticas, evitando traslados a otras ciudades y agilizando la atención.
Tras completar su recuperación inicial, Ana Llacsaguache fue dada de alta y pudo reunirse nuevamente con su familia. “Estoy profundamente agradecida con los médicos por devolverme la oportunidad de vivir. Siento que he vuelto a nacer para estar con mi familia”, expresó conmovida al salir del hospital. Su caso se convirtió en motivo de esperanza para otros pacientes con diagnósticos similares.
PUBLICIDAD

Extirpan tumor alojado en la base del cerebro
José Carrillo, odontólogo de 52 años, recuperó la visión tras una compleja neurocirugía realizada en el Hospital Nacional Alberto Sabogal Sologurende EsSalud. El paciente llegó de emergencia por fuertes cefaleas, pérdida visual y caída del párpado derecho. Los especialistas diagnosticaron un tumor hipofisario con sangrado en la base cerebral, una afección de alto riesgo que requería intervención inmediata.
El equipo médico, liderado por el doctor Elvis Rojas Amado, realizó la operación en dos etapas: acceso nasal y extracción completa de la masa de 2 x 2 centímetros. La cirugía, de tres horas, permitió la recuperación visual y la mejora de los síntomas. Carrillo fue dado de alta tras una evolución favorable, resaltando la importancia de la atención especializada y tecnología avanzada en el sistema público.
PUBLICIDAD
Más Noticias
Músico acusado de abuso sexual aparece muerto en comisaría PNP de Chimbote: investigan qué ocurrió en el calabozo
El hombre de 49 años había sido intervenido tras la denuncia de su hijastra de 15 años, quien lo acusó de agresiones reiteradas. La Fiscalía ya inició diligencias para esclarecer las circunstancias del deceso

Día Internacional de los Museos: propósito y la razón de la conmemoración que destaca el papel social de las instituciones culturales
La conmemoración anual promueve el acercamiento entre comunidades y culturas, impulsando actividades que refuerzan la función de los museos como espacios de intercambio, educación y preservación del patrimonio en más de ciento cincuenta países

La fiesta del JNE antes de las Elecciones 2026: así fue la reunión con observadores internacionales y fiscalizadores
Documentos detallan gastos por más de S/25 mil en una recepción para observadores internacionales realizada antes de la primera vuelta electoral

Angélica Aquino rechaza convocatoria a la selección y explica sus motivos: “Son mis vacaciones, tengo temas personales”
La experimentada voleibolista de la Universidad San Martín confirmó que se comunicó con el técnico Antonio Rizola para rechazar el llamado, pese a haber sido considerada nuevamente tras varios años de ausencia

Candidatas a vicepresidentas de Roberto Sánchez aceptan debatir con equipo de Keiko Fujimori: “El pueblo sabe elegir”
Analí Márquez y Brígida Curo respondieron favorablemente a la propuesta de realizar tres debates antes de la segunda vuelta presidencial, incluyendo la participación de equipos técnicos


