
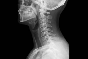
El reciente incidente en Mar del Plata, Argentina, donde un adolescente ingirió accidentalmente un alambre mientras comía galletas, ha puesto de relieve la importancia del diagnóstico por imágenes para detectar objetos extraños en la garganta y otras partes del cuerpo humano.
La presencia de cuerpos extraños en el organismo —ya sea por ingestión accidental, accidentes traumáticos o inserción voluntaria— es una situación común en las salas de emergencias. La clave para un tratamiento exitoso es la localización precisa. Para ello, la medicina se apoya principalmente en dos pilares: la radiografía y la ecografía.
Aunque existe la creencia popular de que una es para metales y otra para el resto, la realidad técnica es un poco más matizada.

Radiografía convencional (rayos X)
Es la primera línea de defensa. Funciona mediante el uso de radiación electromagnética que atraviesa los tejidos.
¿Cómo funciona?
Los rayos X atraviesan el cuerpo y son absorbidos en diferentes grados según la densidad de los tejidos, explica Arth Diagnostics.
- Los objetos densos (como el plomo o el hierro) absorben casi toda la radiación y aparecen de color blanco brillante (radiopacos).
- Los tejidos blandos y el aire permiten el paso de los rayos y aparecen en tonos de gris o negro.
¿Qué detecta con precisión?
- Metales: Monedas, clavos, agujas o proyectiles.
- Vidrio: La mayoría de los vidrios modernos contienen plomo o bario, lo que los hace visibles.
- Huesos y piedras: Cálculos o fragmentos óseos extraños.

Limitación principal: Los objetos de baja densidad, como la madera, el plástico fino o la materia vegetal, suelen ser “transparentes” a los rayos X, pasando desapercibidos.
Ecografía (ultrasonido)
A diferencia de los rayos X, la ecografía no utiliza radiación, sino ondas sonoras de alta frecuencia, explica la Escuela de Salud de Murcia.
¿Cómo funciona?
Un transductor emite ondas sonoras que rebotan al chocar con una interfaz de diferente densidad. El equipo calcula el tiempo que tarda el “eco” en volver y crea una imagen en tiempo real.
- Los objetos sólidos suelen ser hiperecogénicos (blancos).
- Un signo clave es la sombra acústica: el objeto bloquea el sonido y deja una “mancha negra” detrás de él, lo que confirma su presencia.

¿Qué detecta con precisión?
Es la herramienta reina para los objetos no metálicos y radiolúcidos:
- Madera y astillas: Es extremadamente sensible para detectar espinas o madera que los rayos X no ven.
- Plásticos: Juguetes o piezas pequeñas.
- Materia orgánica: Espinas de pescado o fragmentos vegetales.
Ventaja adicional: Permite ver la relación del objeto con vasos sanguíneos o tendones cercanos y guiar una cirugía de extracción en tiempo real.
¿Cuál es la más indicada?
La elección no siempre es excluyente; a menudo son complementarias.
- Si se sospecha que un niño tragó una moneda, la radiografía es el estándar de oro por su rapidez y claridad para objetos metálicos.
- Si una persona se clavó una astilla de madera en el pie y no se encuentra a simple vista, la ecografía es la única herramienta capaz de localizarla y medir a qué profundidad se encuentra.
Mientras que la radiografía domina el mundo de lo inorgánico y denso, la ecografía es la lupa de alta precisión para lo orgánico y lo sutil, permitiendo que los médicos actúen con total certeza antes de realizar cualquier incisión.
Últimas Noticias
Colombia: lista de los 10 videos musicales que son tendencia en YouTube este sábado
La plataforma ha llegado a revolucionar la forma en la que los internautas consumen contenido y ha funcionado como un trampolín para artistas emergentes

Lista de los artistas más reproducidos hoy en YouTube Chile
Nuevos artistas y canciones han entrado en el top de los clips más vistos en la plataforma de videos más famosa del mundo

Con qué frecuencia se debe reiniciar el celular para mantener un rendimiento óptimo
El proceso interrumpe aplicaciones en segundo plano y optimiza el uso de la batería

Lista de los 10 videos más populares hoy en YouTube España
YouTube nació en el 2005 cuando tres extrabajadores de Paypal experimentaron dificultades para compartir videos de una fiesta a la que habían asistido

Desarrollan músculo artificial que cambia de forma y se repara tras sufrir daños
La tecnología permite que los robots se adapten a distintas tareas sin necesidad de rediseño




