
El problema de las adicciones tiene múltiples aristas: causa daños en lo personal, en la salud de quien consume, en las familias, en el ámbito social y es, por supuesto, un tema político. Suele ser un asunto que aparece y desaparece de la discusión pública y es retomado cada vez que ocurren situaciones de fuerte impacto. El año pasado, cuando el cantante Santiago “Chano” Moreno Charpentier sufrió una crisis de salud mental a causa de su adicción; en el verano último, cuando se produjo la tragedia de las 24 muertes por la cocaína mezclada con fentanilo, y esta semana a causa del folleto distribuido en el Municipio de Morón en el marco, según sus responsables, de una campaña de reducción de daños para personas que ya son consumidoras.
De acuerdo con un informe de SEDRONAR al que accedió Infobae, con datos comparativos entre 2019, 2020 y la mitad de 2021, se registró un aumento de un 18 % en la cantidad de llamados a la línea 141, que es el servicio telefónico gratuito y nacional que brinda información y asistencia las 24 horas los 365 días del año. Se llegó a un promedio de atención de 521 llamados por día. Si bien la mayoría de las consultas son de familiares pidiendo ayuda o información, por primera vez desde que funciona la línea se registró un aumento de un 4% de las consultas directas de personas que se encuentran en situación de consumo.
Caer en una adicción genera consecuencias extremadamente graves en el organismo de quien consume y el primer impacto lo registra el cerebro que puede sufrir daños irreparables. Se considera que una persona es adicta cuando se desarrolla una dependencia psicológica, es decir, una conducta repetitiva y compulsiva con respecto al uso de una sustancia. Coexisten la dependencia psicológica y física, que es la respuesta del cuerpo ante esa sustancia. En sí, la definición de adicción aplica a la compulsión y repetición del uso de alcohol, nicotina, drogas opiáceas como la heroína, también la cocaína y otros estimulantes.

Claudio Bernard Dresl, medico especialista en psiquiatría, ex médico psiquiatra interno del Hospital Sainte Anne, París, Francia, explicó a Infobae que las llamadas “‘drogas de adicción’ son sustancias que afectan la energía electroquímica con la que el cerebro funciona habitualmente y le induce a producir fenómenos sensoriales, emocionales, conductuales y cognitivos anormales con su uso regular, generan daños en el tejido cerebral, y sufrimiento para el que las consume y en su entorno Las drogas de adicción inducen a esta unidad cerebromental a dirigir sus acciones alejándolas de su dirección evolutiva natural, tanto histórica como biológica”.
La cocaína es una sustancia estimulante y su mayor efecto lo ejerce facilitando la liberación de dopamina al mismo tiempo que inhibe su recaptación en las sinapsis de las vías que funcionan con este neurotransmisor, por lo que facilita todas las conductas, emociones y sensaciones mediatizadas por este. También aumenta la liberación e inhibe la recaptación de noradrenalina y serotonina por lo que adiciona efectos conductuales propios de estos. Actúa como “exprimiendo” neuronas para que liberen estas sustancias, facilitando euforia, sensaciones de poder, exaltación, agitación psicomotriz, aceleración del pensamiento que lleva, al desorganizar su coherencia interna, a la producción ideación paranoide hasta la constitución de delirios paranoides y pérdida del contacto con la realidad.
“La cocaína se consume cada vez más de forma repetida y en dosis cada vez mayores porque hay tolerancia, uno se va acostumbrando y luego necesitas más dosis para tener el mismo efecto”, dijo a Infobae Alejandro Andersson, médico neurólogo (MN: 65.836), director del Instituto de Neurología Buenos Aires (INBA).

Con el consumo frecuente “se pierde el sentido de la realidad y hasta puede haber alucinaciones en la medida que la cocaína tiene una subida más rápida, el efecto de adicción es mayor por eso es que la vida media del crack es más corta. Y en la medida que baja más rápidamente, la necesidad de volver a consumir también es mayor, estas son características del crack. Ambas formas tienen el problema, pero es más acentuado en las formas de cristales de cocaína que se fuman”, apuntó Andersson. “Cuando se inhala muy frecuentemente los pacientes se refieren a que el olfato les cambió, o que lo perdieron. Pueden tener hemorragias nasales, úlceras, la nariz les gotea frecuentemente y tiene problemas para tragar y problemas respiratorios cuando lo fuman, incluso tiene el riesgo de contraer enfermedades como la neumonía”, subrayó.
El doctor Salvador Guinjoan, jefe del Servicio de Psiquiatría de la Fundación Fleni apuntó cuál es el primer cambio notorio de una persona adicta: los circuitos cerebrales de recompensa. “Se la llama neurotransmisión dopaminérgica y consiste en que la droga va sustituyendo las recompensas naturales del organismo, como pueden ser la comida o las relaciones sexuales. Las drogas ilegales, o el cigarrillo y el alcohol puentean las funciones y utilizan el mismo mecanismo para hallar una sensación de placer en el cuerpo”, señaló Guinjoan y remarcó que “las personas que desarrollan una adicción, van desarrollando el concepto de tolerancia en su organismo, por lo que van a necesitar cada vez más droga o el cambio a otra más fuerte, ya que el efecto de una cantidad pautada o tipo de estupefaciente ya probado, no va a a alcanzar para llegar al placer”.
Por su parte, el doctor Gabriel Persi, jefe del Área de Enfermedades Cerebrovasculares del Instituto de Neurociencias Buenos Aires (Ineba) alertó sobre los adictos a más de una droga: “Tiene serias implicancias en la salud del organismo. Muchas drogas como la cocaína, la ketamina o el éxtasis, tienen fenómenos activos en diferentes áreas, como por ejemplo la cerebrovascular. Pueden causar hemorragias en el cerebro, arritmias cardíacas, fibrilación auricular (FA), aumento de la coagulación de la sangre, espasmos en las arterias, e incidentes de isquemia”.

“Asimismo el consumo repetido y prolongado en el tiempo puede afectar circuitos que intervienen con la capacidad de inhibir conductas vinculadas al consumo de drogas como así también áreas cerebrales relacionadas con la toma de decisiones en la corteza frontal”, indicó la doctora Magdalena Boano, médica especialista en Psiquiatría de Ineco.
De esta forma, las drogas adictivas –cocaína, alcohol, cannabinoides o nicotina- pueden compararse con comida o sexo. Esto explica por qué la cocaína o la heroína produce ese rush, como una fiebre de puro placer, que muchos usuarios comparan con tener un orgasmo. Y esto es igual en cualquier cerebro, es por eso que se vuelve fácil entender por qué la adicción es cada vez más frecuente en la sociedad.
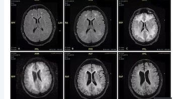
En 2019 se realizó un estudio con imágenes cerebrales de resonancia magnética de un consumidor habitual de cocaína. Así se reveló el daño que la droga puede causar con el tiempo. El paciente no identificado fue diagnosticado con una condición rara llamada leucoencefalopatía tóxica inducida por cocaína después de abusar regularmente durante años.

Los estudios fueron efectuados en el hospital de Msida, de Malta. Según los profesionales que atendieron al paciente, se trata de un hombre de 45 años que estaba confundido y se comportaba de manera extraña, antes de que los médicos se dieran cuenta de que padecía leucoencefalopatía tóxica inducida por cocaína.
El doctor Ylenia Abdilla, que trató al hombre no identificado, explicó: “Es un trastorno raro que puede causar una discapacidad significativa. Este estudio de caso está destinado a aumentar la conciencia de esta condición”. Y agregó: “El pronóstico generalmente es malo y puede ser rápidamente mortal; sin embargo, algunos casos raros se recuperan por completo, como se ve en este informe de caso”.
SEGUIR LEYENDO
Últimas Noticias
Qué significa quedarse dormido en menos de diez minutos: lo que dice la ciencia sobre la latencia del sueño
La latencia del sueño, medida central en estudios clínicos, puede variar según factores como la edad, los hábitos diarios y el entorno, y su análisis es clave para comprender la calidad del descanso nocturno en la población adulta

Los adolescentes que consumen marihuana tienen más riesgo de sufrir psicosis y trastorno bipolar
El análisis de datos de más de 460.000 jóvenes estadounidenses mostró una asociación entre el cannabis y la probabilidad de padecer a largo plazo trastornos de salud mental

Crean cartílago para uso humano a partir de vegetales: cómo funciona la técnica que promete transformar la medicina regenerativa
El avance científico inédito logró producir piezas biocompatibles en laboratorio mediante recursos naturales. Los detalles de un avance que podría convertirse en una solución ante la escasez de donantes y el alto costo de las terapias convencionales

Cómo ayuda la vitamina D a la salud de los huesos
Mantener niveles adecuados de este nutriente previene enfermedades óseas y contribuye a la salud muscular, al tiempo que favorece el equilibrio y reduce el riesgo de fracturas en todas las etapas de la vida

6 hábitos avalados por Harvard para prevenir el dolor de cuello crónico
Incorporar movimientos frecuentes, cuidar la postura y optimizar el descanso son algunos de los consejos de los expertos. Cómo evitar que las molestias cervicales se vuelvan persistentes



