
Un viaje de ensueño por Tailandia, Japón y Hawái terminó convirtiéndose en una pesadilla médica para una mujer de 30 años originaria de Nueva Inglaterra. Según informó The Washington Post, la paciente comenzó a experimentar una sensación de ardor en los pies que, en cuestión de días, se extendió a sus piernas, tronco y brazos. A pesar de acudir a varios hospitales, los médicos no lograban identificar la causa de sus síntomas, que incluían un dolor de cabeza intenso y, posteriormente, episodios de confusión.
La mujer había regresado de sus vacaciones 12 días antes de que los síntomas comenzaran a manifestarse. Durante su viaje, consumió sushi crudo en Tokio, ensaladas y sushi en Hawái, y comida callejera en Bangkok, aunque ninguna de estas comidas estaba cruda. Además, nadó en el océano en varias ocasiones mientras estaba en Hawái. Este contexto fue clave para que los médicos del Hospital General de Massachusetts lograran conectar los puntos y llegar al diagnóstico final: una infección causada por el parásito Angiostrongylus cantonensis, conocido como el “gusano pulmonar de rata”.
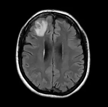
El caso, que fue documentado en un estudio de 11 páginas publicado en el New England Journal of Medicine, detalla cómo los síntomas de la mujer evolucionaron rápidamente. Tras una semana de ardor en la piel y dolores de cabeza, la paciente comenzó a mostrar signos de confusión severa. En un episodio particularmente alarmante, se despertó convencida de que debía empacar para unas vacaciones inexistentes, lo que llevó a su pareja a trasladarla nuevamente al hospital. Robert Cowie, profesor de investigación de la Universidad de Hawái le dijo a The Washington Post: “Es realmente inusual”.

Una punción lumbar reveló niveles extremadamente altos de eosinófilos, un tipo de glóbulo blanco que combate infecciones parasitarias. Este hallazgo, junto con su historial reciente de viaje, permitió a los médicos identificar la causa: una infección por Angiostrongylus cantonensis, un parásito que afecta principalmente a las ratas, pero que puede transmitirse a los humanos a través de caracoles, babosas o alimentos contaminados con sus secreciones.
El doctor Joseph Zunt, neurólogo especializado en enfermedades infecciosas, explicó que la paciente sufría de meningitis eosinofílica, una inflamación de las membranas que rodean el cerebro y la médula espinal causada por este parásito. Según The New York Post, el diagnóstico fue posible gracias a la combinación de la punción lumbar y el análisis de su comportamiento y actividades durante su estancia en Hawái, donde esta enfermedad es un problema conocido.
El gusano pulmonar de rata: un parásito que causa estragos
El gusano pulmonar de rata es un parásito que, en su forma adulta, habita en los pulmones de las ratas. Las larvas del parásito son expulsadas en las heces de estos roedores, contaminando a caracoles y babosas, que actúan como huéspedes intermediarios. Los humanos pueden infectarse al consumir estos animales crudos o poco cocidos, o al ingerir alimentos contaminados con su baba.

Aunque las larvas no alcanzan la madurez en el cuerpo humano, pueden sobrevivir lo suficiente como para causar daños significativos. Los síntomas de la infección varían desde leves, como náuseas y fiebre baja, hasta graves, como dolor de cabeza intenso, rigidez en el cuello, hormigueo en la piel, parálisis e incluso la muerte. En casos extremos, como el del jugador de rugby australiano Sam Ballard, el parásito puede causar un daño neurológico irreversible. Ballard quedó en coma durante más de un año tras ingerir una babosa como parte de un desafío y falleció en 2018 a los 29 años.
De acuerdo con los Centros para el Control y la Prevención de Enfermedades (CDC), la enfermedad causada por el gusano pulmonar de rata se ha documentado en más de 30 países, con más de 2.800 casos reportados hasta 2008. Sin embargo, el experto en parásitos Robert Cowie, señaló a The Washington Post que esta cifra podría ser mucho mayor debido a diagnósticos erróneos o casos no reportados. En Hawái, donde la enfermedad se identificó por primera vez en 1959, se registran entre 10 y 12 casos al año, aunque en 2017 se produjo un aumento significativo.
En los Estados Unidos continentales, los casos son menos comunes y se concentran principalmente en estados del sureste como Florida, Alabama, Luisiana y Texas. Según Cowie, el cambio climático y otros factores podrían estar facilitando la propagación del parásito a nuevas áreas. Actualmente, está trabajando en una propuesta de investigación para determinar la extensión de la presencia del parásito en caracoles y babosas en el sureste de Estados Unidos.
No existe un tratamiento específico para la infección por gusano pulmonar de rata. El manejo de la enfermedad se centra en aliviar los síntomas, como el dolor y la inflamación. En el caso de la mujer de Nueva Inglaterra, fue tratada con el esteroide antiinflamatorio prednisona y dada de alta tras seis días de hospitalización.
El doctor Cowie criticó la falta de conocimiento sobre esta enfermedad entre los médicos, lo que puede retrasar los diagnósticos y poner en riesgo la vida de los pacientes. La ignorancia sobre esta infección podría tener consecuencias graves, ya que un tratamiento temprano con medicamentos antiparasitarios puede prevenir complicaciones severas.
La prevención es clave para evitar la infección. Los CDC recomiendan lavar cuidadosamente frutas y verduras, evitar el consumo de caracoles, babosas y otros animales crudos o poco cocidos, y tomar precauciones al manipular alimentos en áreas donde el parásito es endémico.
Mientras tanto, la paciente se recupera en casa tras recibir tratamiento.
Últimas Noticias
Un estado de EEUU enfrenta brote mortal por intoxicación con hongos venenosos
Las autoridades sanitarias confirmaron decenas de personas hospitalizadas y varios trasplantes de hígado tras consumir especies silvestres altamente tóxicas favorecidas por condiciones climáticas inusuales

Retiran más de 80.000 vehículos eléctricos por una falla que afecta a peatones
La medida preventiva se adoptó tras detectar que un sistema obligatorio no cumple con los niveles mínimos de sonido exigidos al desplazarse a baja velocidad

Restos óseos que aparecieron en playa de Washington fueron identificados como los de un alcalde desaparecido hace 20 años
Autoridades forenses cerraron un expediente abierto desde 2006 luego de establecer un vínculo genético con familiares de un exfuncionario local

Estados Unidos incautó más de una tonelada de cocaína, marihuana y un arma en un operativo en el Caribe: detuvieron a 4 narcotraficantes
Un patrullaje de 45 días culminó con la confiscación de estupefacientes valorados en millones de dólares, mientras los detenidos fueron puestos a disposición de a las autoridades de Bahamas para su procesamiento

Durante su encuentro, María Corina Machado le regaló su medalla del Premio Nobel de la Paz a Donald Trump
En un gesto de acercamiento político, la líder opositora venezolana le obsequió el reconocimiento internacional al mandatario estadounidense por “el impulso de la diplomacia y la defensa de la libertad y la prosperidad”




