
LUNES, 14 de julio de 2025 (HealthDay News) -- Un residente de Arizona murió de peste neumónica, una enfermedad rara pero grave, confirmaron las autoridades de salud.
La muerte ocurrió en el condado de Coconino, en el norte de Arizona, que incluye a Flagstaff. Las autoridades no dieron información sobre la persona que murió, reportó Associated Press .
Esta es la primera muerte conocida en EE. UU. por peste neumónica desde 2007, según las autoridades de salud locales y federales. Si se detecta a tiempo, la peste neumónica generalmente se puede tratar con éxito con antibióticos.
La peste es una infección bacteriana que se propaga principalmente en el oeste de los Estados Unidos.
En promedio, se reportan unos siete casos humanos cada año en todo el país, según los Centros para el Control y la Prevención de Enfermedades (CDC) de EE. UU.
La peste es causada por una bacteria llamada Yersinia pestis. Se cobró millones de vidas en la Europa del siglo XIV.
La forma más común es la peste bubónica, que se propaga comúnmente entre roedores como los perritos de las praderas y las ratas, según AP.
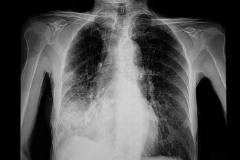
Pero hay otros dos tipos: la peste septicémica, que se propaga por todo el cuerpo, y la peste neumónica, que infecta los pulmones.
La peste neumónica, que causó la muerte en Arizona, también es la más fácil de propagar, según AP .
A menudo se transmite por pulgas que han picado a roedores infectados. Las pulgas también pueden infectar a mascotas o humanos.
Las personas también pueden contraer la peste al tocar sangre o fluidos corporales de animales infectados. Es por eso que los expertos en salud advierten contra la manipulación de animales enfermos o muertos.
La mayoría de los casos en EE. UU. ocurren en áreas rurales del norte de Arizona, el norte de Nuevo México, el sur de Colorado, California, el sur de Oregón y el extremo occidental de Nevada, apuntó AP .
Más información
La Clínica Cleveland ofrece más información sobre la peste.
FUENTE: The Associated Press, 11 de julio de 2025
Últimas Noticias
A los 82 años, un corredor con una capacidad aeróbica de 30, rompe récords
El caso de Juan López García ofrece nuevas pistas científicas sobre los músculos, el oxígeno y la edad biológica. Expertos que analizaron su organismo

¿Plomo en alimentos y suplementos? Qué advierten la FDA y la OMS sobre los riesgos y qué productos están en la mira
Las autoridades sanitarias intensifican el monitoreo tras detectar niveles preocupantes de esta sustancia en productos populares, mientras especialistas insisten en la importancia de elegir opciones seguras y limitar el consumo de marcas no certificadas

Dieta baja en ultraprocesados, la clave para sumar años de vida y alcanzar una longevidad saludable
Investigadores estadounidenses comprobaron que reducir ciertos productos industriales genera beneficios inmediatos en la salud física y puede influir de manera directa en la esperanza de vida de los adultos mayores

Qué es la adicción al sexo, cuándo se diagnostica y cómo se puede tratar
Se trata de un incremento del deseo sexual, acompañado de impulso a tener contactos sexuales con otros o a masturbarse. Un experto sexólogo explica los alcances de esta conducta, considerada una adicción en muchos casos que afecta a casi un 6% de la población mundial

El Ministerio de Salud presentó un tablero de seguimiento para casos de cardiopatías congénitas infantiles
Un sistema digital permite registrar, derivar y operar a niños con malformaciones cardíacas desde cualquier provincia, acortando los tiempos de espera y mejorando la calidad de los datos disponibles para los equipos médicos. Los detalles



