
Adolf Hitler murió en 1945 en Berlín, después de beber cianuro y tras dispararse un balazo, confirmaron investigadores franceses que tuvieron acceso a los restos de la dentadura del dictador, que se conservan en Moscú.
"Los dientes son auténticos, no cabe duda. Nuestro estudio prueba que Hitler murió en 1945", dijo a la AFP el profesor Philippe Charlier.

"Ya podemos parar todas las teorías conspirativa sobre Hitler. No se fue a Argentina en un submarino, no está escondido en una base en la Antártida ni en el lado escuro de la Luna", indicó Charlier.
MÁS SOBRE ESTE TEMA:
El estudio, del cual Charlier es el coautor junto a cuatro otros investigadores, fue publicado el viernes en la revista científica European Journal of Internal Medicine.
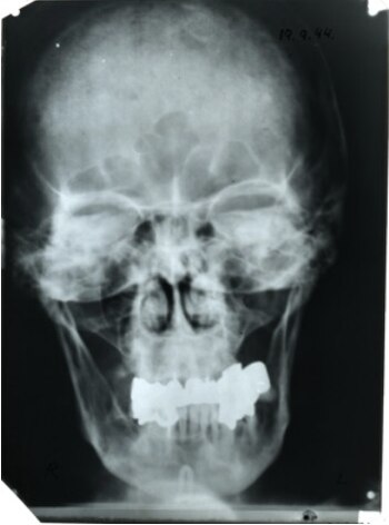
El análisis de la mala dentadura de Hitler y de varias piezas, no encontró ningún rastro de carne, ya que el dictador nazi era vegetariano, indicó Charlier.

En marzo y en julio de 2017, los servicios secretos rusos FSB y los archivos estatales rusos autorizaron a un equipo de científicos a examinar los huesos del dictador, por primera vez desde 1946, contó el experto.
El equipo francés pudo analizar un fragmento del cráneo que fue atribuido al "Fuhrer", que tenía un agujero en el lado izquierdo que probablemente fue provocado por el impacto de la bala.

Los científicos no pudieron tomar muestras de este fragmento.
La morfología del fragmento correspondía con las radiografías del cráneo de Hitler tomadas antes de su muerte, estimó el estudio.

Este estudio confirma la versión generalmente aceptada de que Hitler murió el 30 de abril de 1945 en su búnker de Berlín con su compañera Eva Braun.

El estudio además entrega nuevas informaciones sobre las causas exactas de su muerte, indicó Charlier.

"No sabíamos si había usado una cápsula de cianuro para darse muerto o una bala en la cabeza. Son muy probables ambos", dijo.

El análisis de los dientes no encontró ningún rastro de pólvora, lo que indica que el revólver no entró en la boca y que más probablemente fue apuntado al cuello o a la frente.

Además, los depósitos azulados en sus piezas de dentadura postiza podrían indicar "que hubo una reacción entre el cianuro y la dentadura", dijo el investigador.
Charlier, especialista en medicina legal y antropología, también participó en el análisis del corazón momificado de Ricardo Corazón de León.
(Con información de AFP)
MÁS SOBRE ESTE TEMA:
El macabro experimento secreto que los nazis perpetraron en España
Adolf Eichmann, el ingeniero del Holocausto al que el Mossad cazó en la Argentina en una de las misiones más audaces de su historia
Así viven los descendientes de los dictadores más brutales del siglo XX
Últimas Noticias
Sofi Morandi relató cómo fue su proceso para salir del closet con su familia: “Eran otros tiempos”
La actriz habló con sinceridad sobre aquel momento en la adolescencia en que decidió anticiparse a su mamá y poner en palabras sus sentimientos, mostrando una faceta llena de emoción y verdad

Deportivo Cali está cerca de incorporar un mediocampista proveniente del fútbol brasileño para la Liga BetPlay
El club vallecaucano continúa ajustando su nómina de cara al cierre del mercado de fichajes nacional, con la intención de potenciar la zona central del campo y mejorar su rendimiento

Rafael López Aliaga afirma que fue extorsionado por Vladimiro Montesinos: “Alberto Fujimori se rodeó de puros forajidos”
El líder de Renovación Popular señaló que el exasesor le exigió sobornos durante los últimos años del régimen fujimorista, lo que frustró el desarrollo de una hidroeléctrica y una financiera digital

Messi, en la Casa Blanca con Trump: el homenaje al Inter Miami por el título en la MLS
Un inesperado cruce entre dos figuras globales marcó la tradición deportiva en Washington tras el título del Inter Miami
Banda Los Recoditos se pronuncia ante las acusaciones de intento de homicidio de su vocalista
La agrupación sinaloense compartió que toman con seriedad el caso y priorizan la integridad, por lo que el cantante se ausentará hasta que las autoridades aclaren los hechos



