
Investigadores del Hospital Brigham and Women’s de Boston, en Estados Unidos, desarrollaron un nuevo dispositivo, con la forma y el tamaño de un grano de arroz, que tiene la capacidad de estudiar en tiempo real los efectos de los medicamentos utilizados para combatir uno de los cánceres más difíciles de tratar.
Este implante experimental fue diseñado para su uso durante intervenciones quirúrgicas estándar, y durante su ensayo clínico piloto proporcionó una visión de la reacción que tuvieron los fármacos en un tumor cerebral y no causó efectos adversos en los pacientes.
Recordemos que actualmente, el seguimiento de los efectos de un tratamiento contra el cáncer cerebral durante una cirugía se limita a imágenes intraoperatorias y muestreo de tejido después de que se ha administrado un medicamento. También se encuentra la técnica conocida como microdiálisis, una de las opciones de muestreo menos invasivas para probar el impacto de los medicamentos en los tumores cerebrales, pero incluso esta requiere insertar un catéter completo en la cavidad del cráneo del paciente.
En contraste, el dispositivo está diseñado para permanecer implantado en un paciente únicamente durante unas dos o tres horas mientras administra microdosis del fármaco respectivo que está bajo observación, según publican en la revista ‘Science Translational Medicine’.
Los investigadores fueron capaces de medir el impacto de hasta 20 medicamentos para los tumores cancerosos. Y una vez que se retira el dispositivo, en algún momento antes de que finalice la cirugía, el tejido circundante se devuelve al laboratorio para su análisis.
“Para lograr el mayor impacto posible en el tratamiento de estos tumores, tenemos que ser capaces de entender, desde el principio, qué fármaco funciona mejor en cada paciente”, explica el co-investigador principal y coautor del estudio, Pierpaolo Peruzzi, profesor asistente en el Departamento de Neurocirugía del Brigham and Women’s Hospital.
Cómo se realizó el estudio

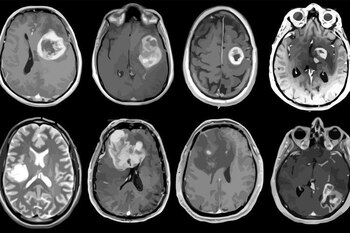
Los investigadores probaron su dispositivo en seis pacientes sometidos a cirugía cerebral para extirpar un tumor de glioma, los cuales afectan al cerebro o a la médula espinal, y se cuentan también entre los cánceres cerebrales más mortíferos debido a que son especialmente difíciles de tratar.
Ninguno de los pacientes experimentó efectos adversos del dispositivo, y se pudieron recopilar valiosos datos biológicos de los dispositivos, como por ejemplo cómo cambia la respuesta en función de las concentraciones del fármaco, o qué cambios moleculares produce cada fármaco en las células.
Y aunque el estudio demostró que el dispositivo es seguro y puede incorporarse fácilmente a la práctica quirúrgica, los investigadores siguen trabajando para determinar las formas exactas en que deben utilizarse los datos que recoge para optimizar la terapia del glioma.

“Es importante que podamos hacerlo de la forma que mejor capte las características del tumor de cada paciente y que, al mismo tiempo, sea lo menos perjudicial posible para el tratamiento estándar” afirmó el profesor Peruzzi.
Implantes como el desarrollado por el Brigham and Women’s Hospital acercan a los científicos a poder utilizar mejor herramientas y datos para proporcionar planes de tratamiento de atención más personalizados para pacientes con cáncer, debido a que funciona mientras el tumor está todavía en el cuerpo y la realización de experimentos de este modo ofrece una capacidad sin precedentes para evaluar los efectos de los fármacos en el microambiente tumoral; las células que rodean inmediatamente a las células cancerosas y que pueden constituir casi la mitad de la masa de un tumor.
Peruzzi asegura que son optimistas y creen que “se trata de un enfoque de nueva generación para la medicina personalizada, con la capacidad de llevar el laboratorio directamente al paciente. Un territorio nuevo y emocionante para una enfermedad que tiene muy pocas opciones en la actualidad”.
Últimas Noticias
XUPER TV descargar para Smart TV: la búsqueda de películas en Google que no conviene
Al igual que Magis TV, muchas apps de streaming no oficiales no están disponibles en tiendas oficiales. Esto obliga a descargarlas desde sitios externos, aumentando el riesgo de software malicioso

Conoce la ubicación de tu esposo o esposa usando solo el número de teléfono
Los usuarios pueden utilizar WhatsApp para compartir su ubicación en tiempo real por hasta ocho horas. Esta función es útil cuando se ha acordado encontrarse en un lugar específico

Tesla se une con Volkswagen con tecnología para movilidad eléctrica: tiene que ver con los cargadores
Los modelos ID.4 e ID. Buzz podrán utilizar los cargadores Tesla mediante un adaptador NACS aprobado por la marca

Ver películas y series en diciembre en Magis TV y XUPER TV no es recomendable, es ilegal
El auge de servicios piratas para ver películas en Navidad vuelve a encender las alertas por los riesgos de seguridad digital, mientras crecen las recomendaciones para optar por plataformas legales

Cuál es el valor en el mercado de la criptomoneda ethereum este 20 de diciembre
Ethereum fue lanzada en 2015 por el programador Vitalik Buterin, con la intención de impulsar un instrumento para aplicaciones descentralizadas y colaborativas




