
Un tumor cerebral está constituido por un grupo de células que crece de manera atípica en este órgano vital. Puede obedecer a una anomalía en los tejidos o ser consecuencia de una metástasis de otro tumor que se ha desarrollado en otra parte del cuerpo y cuyas células llegan al cerebro a través del torrente sanguíneo. Según datos de la Organización Mundial de la Salud, representan el 2% de todas las patologías oncológicas.
“Puede afectar a personas de todas las edades, desde recién nacidos hasta adultos mayores. La frecuencia varía según la edad. En los niños, los tumores cerebrales son la segunda forma más común de cáncer después de la leucemia: constituyen el 20% de los cánceres pediátricos. En los adultos, hay una ligera tendencia a presentarse entre los 45 y 70 años”, explicó el doctor Alfredo Chaves, (MN 57025) médico neurocirujano del Departamento de Cirugía del Instituto Alexander Fleming.
PUBLICIDAD
El experto señaló que no hay una forma de prevenir este tipo de tumores, por lo que la detección temprana es la principal herramienta para hacerles frente.

“La forma de aparición es muy variable y va a estar relacionada con el sitio y el tamaño donde esté ubicado. No todos causan síntomas, especialmente en las etapas tempranas”, afirmó. Sin embargo, agregó, “es importante buscar atención médica de urgencia con un especialista o en una guardia si se experimentan alguno de estos siete síntomas”:
PUBLICIDAD
1- Dolores de cabeza atípicos, en particular si se trata de un dolor recurrente durante varios días.
2- Convulsiones, sin antecedentes previos.
PUBLICIDAD
3- Alteraciones en la visión, especialmente del campo visual.
4- Debilidad, parálisis o pérdida de fuerza tanto en miembros superiores como inferiores.
PUBLICIDAD
5- Alteraciones en la comprensión o expresión del lenguaje.
6- Pérdida del apetito, náuseas y vómitos persistentes.
PUBLICIDAD
7- Cambios en la personalidad, el estado de ánimo, la capacidad mental y la concentración.

Los tipos de tumores cerebrales
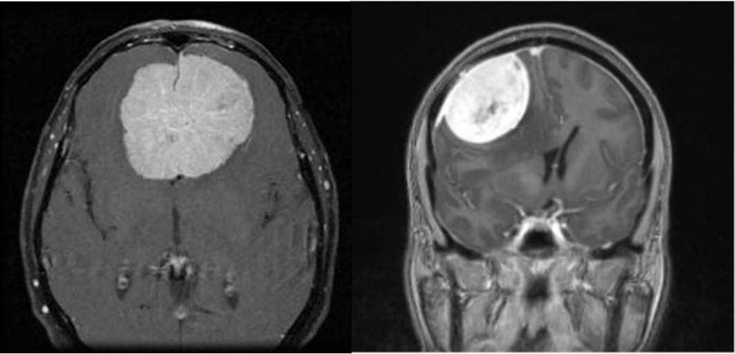
No todo tumor cerebral representa en sí mismo un riesgo para la vida del paciente. Aquellos que son benignos, en general, tienden a no invadir los tejidos cercanos ni diseminarse a otras áreas, crecen lentamente y hasta pueden detener solos su avance. El pronóstico es favorable y en la mayoría de los casos se pueden tratar de manera efectiva con extirpación quirúrgica, teniendo luego una baja probabilidad de recurrencia.
PUBLICIDAD
El comportamiento de los tumores malignos es diametralmente opuesto. Se desarrollan de forma agresiva, invadiendo y destruyendo otros tejidos y pueden extenderse hacia otras partes del cerebro a gran velocidad. Su pronóstico depende de varios factores, como el tipo y grado de malignidad del tumor, la edad del paciente y su estado general.
“Los tumores cerebrales más frecuentes son los que se conocen como secundarios, son los que hacen metástasis de otros tumores. Los que más comúnmente se diseminan al cerebro son los de mama, pulmón, riñón y colon, así como los linfomas y los melanomas”, explicó el doctor Chaves.
PUBLICIDAD
Los primarios, en cambio, son los que se generan en las células del cerebro y pueden clasificarse en diferentes tipos según su origen y las características de sus células. “Pueden requerir enfoques de tratamiento específicos. El diagnóstico preciso y la evaluación debe correr por cuenta de médicos especialistas”, agregó el experto del IAF. Los tumores malignos más frecuentes son los gliomas, originados en las células gliales, que son las que dan soporte y nutrición a las neuronas. Los subtipos más comunes incluyen al glioblastoma multiforme, el astrocitoma y el oligodendroglioma.
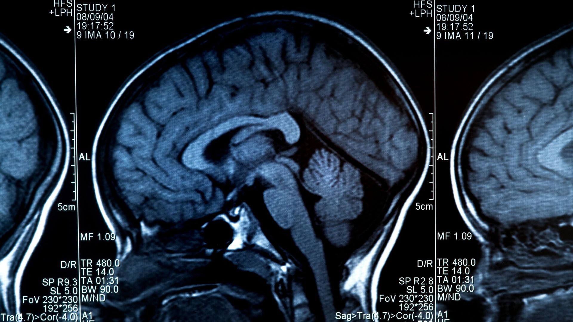
Los meduloblastomas, en tanto, son tumores cerebrales malignos que se desarrollan en el cerebelo, la parte del encéfalo responsable del equilibrio y la coordinación de la actividad motora. Son más habituales en niños y pueden causar problemas de equilibrio, dolores de cabeza y vómitos.
PUBLICIDAD

Además, hay otros tipos de tumores cerebrales primarios, generalmente benignos, como son los:
- Meningiomas: el tumor cerebral primario más frecuente que se desarrolla a partir de las meninges, las membranas que cubren al cerebro y la médula espinal.
- Schwanomas o neurinomas: se originan en las células de Schwan que recubren a los nervios y pueden afectar el equilibrio y la audición.
- Adenomas de hipófisis: muchas veces diagnosticados por cambios hormonales.
- Craneofaringiomas: surgen en la región de la glándula hipófisis, en la base del cerebro, se presentan más frecuentemente en niños y adolescentes y pueden dar síntomas como dolores de cabeza, trastornos de la visión y también cambios hormonales.
El diagnóstico y cómo son los tratamientos
Más allá de las señales de alerta mencionadas, cada persona puede presentar síntomas diferentes y a la vez, la presencia de uno o varios de ellos no necesariamente indica la existencia de un tumor cerebral. Cuando un paciente llega con un cuadro sospechoso, el primer estudio de urgencia que se suele realizar es una tomografía de cerebro aunque el doctor Chaves nos aclaró que este estudio no es suficiente.

“El estudio ideal para descartar un tumor es una resonancia magnética de cerebro con y sin contraste. Y el diagnóstico final y definitivo se da por el estudio del tejido tumoral por un médico anátomo-patólogo. Esto se puede lograr tomando una pequeña muestra a través de una biopsia o con el análisis del tejido obtenido luego de una resección quirúrgica”, detalló.
Una vez confirmado el diagnóstico de un tumor cerebral, el tratamiento puede incluir la cirugía para extirparlo. “Se emplean intervenciones específicas, como son la neurocirugía con técnica microquirúrgica, la asistencia con neuronavegación, la radioterapia, que incluye una forma específica que se llama radiocirugía estereotáxica para destruir la células cancerosas y la quimioterapia para inhibir el crecimiento tumoral. El plan de tratamiento dependerá de las características particulares de cada paciente”, agregó. En algunos casos los tumores cerebrales pueden regresar después de la terapia inicial. La recurrencia puede demandar un nuevo enfoque de tratamiento con cirugía adicional, radioterapia o quimioterapia.
Los peligros de esta patología
Los riesgos y secuelas asociados a un tumor cerebral son diversos y están definidos por una serie de factores que van desde su tamaño y ubicación hasta el grado de malignidad. Uno de los daños posibles es el neurológico. “El tumor puede ejercer presión sobre estructuras cerebrales vitales. Esto ocasiona una variedad de síntomas como dificultades en el habla, cambios cognitivos, problemas de memoria, debilidad o parálisis en una parte del cuerpo, cambios en la visión o en la audición, o problemas de equilibrio”, enumeró el doctor Chaves.

Esta enfermedad también puede desencadenar crisis epilépticas, con convulsiones de variada intensidad y frecuencia, que son controladas a través de medicamentos antiepilépticos. “Por otra parte, algunos tumores cerebrales y aún los tratamientos utilizados como la radioterapia o quimioterapia pueden afectar las funciones cognitivas como la memoria, la concentración, el procesamiento de la información y la velocidad del pensamiento. Estos efectos pueden ser temporales o duraderos y pueden requerir terapia de rehabilitación”, explica al experto.
“Es importante destacar que cada persona y cada tumor cerebral son únicos y las secuelas pueden variar de un individuo a otro. El equipo médico tratante podrá proporcionar información más precisa y personalizada sobre los posibles riesgos y secuelas asociadas a cada tumor cerebral específico”, agregó Chaves.
En el marco del Día Internacional de los Tumores Cerebrales, que se conmemora este 8 de junio, el médico neurocirujano del Instituto Alexander Fleming plantea la importancia de generar conciencia sobre la detección temprana, el acceso a la atención médica especializada y el apoyo a los pacientes y sus familias.
“Nada puede reemplazar la información que proporciona el consejo médico profesional. Si alguien está enfrentando el tratamiento por un tumor cerebral, es fundamental buscar el apoyo de especialistas y equipos multidisciplinarios formados por médicos oncólogos, neurólogos, neurocirujanos, psicooncólogos, radioterapeutas, anátomo-patólogos y neuroradiólogos, que puedan dar orientación, contención y tratamiento adecuado”, concluyó.
Seguir leyendo
PUBLICIDAD
PUBLICIDAD
Últimas Noticias
Por qué algunas personas no pueden dejar de acariciar a los gatos: qué dice la psicología
Diversos estudios sugieren que este hábito no sólo reduce el estrés sino que revela rasgos emocionales y formas de vincularse que van mucho más allá del simple amor por los animales

Artrosis en las manos: ejercicios diarios que ayudan a reducir el dolor y mejorar la movilidad, según expertos
Movimientos simples y de bajo impacto pueden contribuir a preservar la fuerza, aliviar la rigidez y mantener la autonomía en las tareas cotidianas

Cómo entrenar en invierno: claves para superar el frío, las lesiones y la pereza estacional
Las bajas temperaturas activan mecanismos fisiológicos que aceleran el metabolismo, fortalecen las defensas y mejoran el estado de ánimo, pero solo si se respetan algunas precauciones clave

Qué ocurre en los riñones cuando se consume café todos los días
Especialistas explican cuáles son los efectos de esta bebida sobre el organismo y por qué algunas personas deberían moderar su consumo

Hígado graso: qué hábitos mejoran la función hepática y reducen los síntomas
El 38% de los adultos en el mundo presenta esta patología, que puede avanzar sin síntomas durante años hasta derivar en fibrosis o insuficiencia hepática. La importancia de la alimentación equilibrada, el ejercicio y la pérdida de peso, según investigaciones de la Edith Cowan University



