
La elección del tipo de chupón también influye en la salud bucal de los bebés, ya que aquellos con tetina más angosta presentan un menor riesgo de afectar la cavidad oral, según informó el Ministerio de Salud (Minsa) a través de la Dirección de Salud Bucal (Dsabu).
El organismo recomendó a los cuidadores evitar el uso de chupones con tetinas anchas y desaconsejó untarlos con sustancias azucaradas, ya que estas pueden provocar caries dental desde edades muy tempranas. En este contexto, el Minsa alertó sobre los riesgos asociados al uso prolongado del chupón y enfatizó la importancia de limitar y controlar su utilización para prevenir complicaciones en el desarrollo bucal infantil.
Chupón en bebés recién nacidos
De acuerdo con el Ministerio de Salud, el reflejo de succión es un comportamiento natural y necesario en los recién nacidos, fundamental para la lactancia materna. Sin embargo, el uso del chupón antes del primer mes de vida puede interferir con el agarre al pecho, lo que podría afectar negativamente la alimentación del bebé. El Minsa detalló que introducir el chupón en esta etapa temprana puede obstaculizar el proceso de lactancia, lo que podría tener consecuencias en la nutrición y el desarrollo del infante.

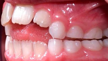
En la nota oficial del Ministerio de Salud, se explicó que la duración del uso del chupón está directamente relacionada con el riesgo de desarrollar maloclusiones y otras alteraciones en la cavidad bucal. Entre las principales consecuencias del uso prolongado se encuentran malformaciones dentales, como la mordida abierta, donde los dientes superiores no logran contactar con los inferiores. Además, se pueden presentar alteraciones en el crecimiento y desarrollo del paladar, así como dificultades en el desarrollo del lenguaje, incluyendo problemas para articular ciertas palabras.
Retiro del chupón a los 2 años
La Dirección de Salud Bucal desaconseja el uso del chupón, aunque reconoce que, en caso de emplearse, debe hacerse bajo supervisión y con límites claros. El organismo recomendó retirar el chupón de manera gradual antes de los 2 años de vida, con el objetivo de evitar deformaciones irreversibles o la necesidad de tratamientos odontológicos complejos en el futuro. Según consignó el Minsa, la identificación temprana de este hábito resulta clave para prevenir complicaciones posteriores.
El Ministerio de Salud también subrayó la importancia de las visitas tempranas al odontólogo, especialmente al odontopediatra. La primera consulta debe realizarse antes del primer año de vida, preferentemente cuando aparecen los primeros dientes, lo que suele ocurrir entre los 6 y 8 meses de edad. Durante estas visitas, los profesionales pueden orientar a los padres sobre prácticas saludables y detectar a tiempo hábitos que puedan afectar la salud bucal del niño, según publicó el Minsa.

En el comunicado, el Ministerio de Salud recomendó a los padres y cuidadores ofrecer alternativas de consuelo más seguras y beneficiosas para los bebés, como el contacto físico, juegos sensoriales o la música suave. El organismo enfatizó que el apego seguro no depende de objetos como el chupón, sino del vínculo afectivo constante entre el bebé y sus cuidadores.
También reiteró que el uso del chupón debe ser una decisión informada y supervisada, priorizando siempre la salud bucal y el bienestar integral del niño.
En el Perú, la salud bucal de bebés y niños se atiende en centros del Ministerio de Salud (Minsa), como centros de salud y hospitales públicos, así como en hospitales y policlínicos de EsSalud para asegurados. Para consultas y citas puedes comunicarte con la Línea gratuita del Minsa, llamada Infosalud, al 0800-10828. Las clínicas privadas y consultorios odontológicos también ofrecen atención a quienes cuentan con seguros privados o pagan de forma particular. Además, algunos municipios y campañas móviles brindan servicios gratuitos o de bajo costo.
Más Noticias
Aumento de pensión ONP a S/1.000: Desde febrero 237 mil pensionistas verán beneficio
ONP pagará la nueva pensión de S/1.000 a afiliados que cumplan con 20 años de aportes. Anteriormente el máximo era de S/893

Pago de MUC aumenta en S/100: Estos son los nuevos montos totales para trabajadores 276
Parte del Beneficio Extraordinario Transitorio Fijo irá al monto único consolidado, pago de trabajadores del régimen 276 del Gobierno nacional y los regionales

La última compra de dólares del BCRP del 2025: ¿Cuánto acumularon las 14 intervenciones?
Infobae Perú revisó todas las compras de dólares del Banco Central de Reserva y el precio a qué compró millones de dólares la entidad

Cronograma ONP para enero 2026: Estas son las fechas de pagos de pensiones, aún sin aumento
En el Banco de la Nación. La pensión máxima de la ONP sube desde el 1 de enero de 2026, pero el pago se aplicará desde febrero

La IA como ventaja competitiva: ¿están listas las empresas peruanas?
En la práctica, la IA suele implementarse como una herramienta tecnológica y no como parte integral del modelo de negocio




