
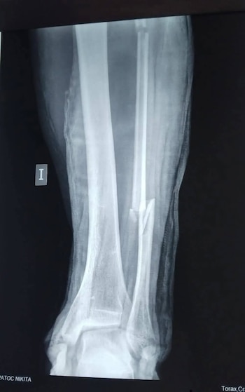
El turista ruso Nikita Ipatov enfrenta la posibilidad de perder la movilidad tras sufrir una grave fractura de tobillo en el sector de Tamborreal, en la provincia del Santa, región Áncash. Durante su travesía mundial en bicicleta, Ipatov fue atropellado por un vehículo cuyo conductor se dio a la fuga, dejando al ciudadano extranjero abandonado en la vía.
La urgencia de una intervención quirúrgica se debe a la complejidad de la fractura, que compromete seriamente su recuperación. Sin embargo, Ipatov no cuenta con seguro médico estatal ni privado, lo que dificulta su acceso a los tratamientos necesarios y retrasa su atención especializada.
Ante esta situación, la comunidad local y la Asociación de Ciclistas del Perú (ACIPER) han iniciado una campaña de recaudación solidaria para cubrir los gastos de materiales quirúrgicos, medicamentos y otros insumos indispensables.
Traslado al hospital y diagnóstico médico
El accidente salió a la luz luego de la denuncia pública realizada por ACIPER, organización que alertó sobre la precaria situación del ciclista. Tras el atropello, Ipatov fue trasladado al hospital La Caleta, donde, luego de la evaluación médica correspondiente, se confirmó la gravedad de la fractura y la necesidad urgente de una cirugía para evitar secuelas permanentes.
Mientras familiares y colectivos ciclistas buscan apoyo para el joven viajero, la falta de cobertura sanitaria continúa limitando la respuesta médica. Esta situación incrementa la preocupación sobre la evolución de la lesión y el futuro de la movilidad de Ipatov, quien se encuentra lejos de su país y depende actualmente de la solidaridad ciudadana.

Medidas y derechos que todo ciudadano debe conocer
Indecopi enfatiza que conocer y ejercer los derechos como víctima permite acceder a atención médica, reclamar indemnizaciones y exigir responsabilidades legales. Entre las principales recomendaciones se encuentran:
- Exige atención médica inmediata.Todas las víctimas o testigos de un accidente tienen derecho a recibir atención en cualquier centro de salud, incluso si el vehículo involucrado no cuenta con SOAT o CAT. Además, se puede informar al Fondo de Compensación del SOAT o CAT, que cubre accidentes causados por vehículos no identificados. En Perú, los vehículos deben contar con un seguro obligatorio que puede ser:
- SOAT, adquirido a través de una aseguradora.
- CAT (Certificado contra Accidentes de Tránsito), exclusivo para vehículos de transporte público que operen dentro de una provincia o región, gestionado por las AFOCAT.
- Exige la activación del SOAT o CAT.Tras un accidente, la empresa de transporte está obligada a activar la cobertura que protege a pasajeros y terceros afectados. Es fundamental guardar información del vehículo, póliza, CAT y aseguradora o AFOCAT para futuras reclamaciones.
- Conserva pruebas del incidente.Fotografías de la placa, del estado del vehículo, del boleto de viaje o comprobante, así como los datos del conductor o la empresa, son elementos clave para respaldar reclamos ante Indecopi o procesos civiles y penales.
- Presenta un reclamo ante Indecopi si la empresa incumple.Si la empresa no activa el seguro, no proporciona información o actúa con negligencia, se puede denunciar ante Indecopi, que investigará y sancionará conforme al artículo 25° del Código de Protección y Defensa del Consumidor. Esta vía administrativa funciona como complemento a las acciones civiles o penales.
- Informa a las autoridades y utiliza todas las vías legales disponibles.La vía del consumidor es importante, pero no reemplaza las acciones civiles (indemnización) ni penales (responsabilidad por delitos). Los ciudadanos afectados pueden reclamar cobertura, exigir sanciones y reparación, ejerciendo todos los derechos que la ley les confiere.
Conocer estos derechos permite no solo acceder a atención y compensación, sino también exigir que las empresas cumplan con sus deberes de seguridad y respondan ante la ley, concluyó la especialista de la UARM.
Más Noticias
Entradas para Gorillaz en Lima: precios y preventa en Ticketmaster de su primer concierto en Perú
La banda virtual anunció su esperado debut en Lima tras el lanzamiento de The Mountain. Miles de sus fanaticos en Perú ya compran desde hoy los boletos para su esperado concierto del 23 de noviembre

Paro de transportistas y marcha de taxistas EN VIVO hoy jueves 5 de marzo: choferes se movilizan por ley antiextorsión y escasez de GNV
Gremios de transporte público anunciaron una medida de protesta ante la prometida ley antiextorsiones que aún no es reglamentada. Mientras que los taxistas también llamaron a plantón. Buses pasan llenos en algunas zonas y tiempo de espera se alarga

Municipalidad de Lima aprueba aportes obligatorios del 10% para distritos de la Costa Verde
La nueva normativa busca dar más poder y recursos a la Autoridad del Proyecto Costa Verde, que es la entidad encargada de coordinar y supervisar el desarrollo del litoral de la Costa Verde

Gorillaz en Perú: euforia por preventa de entradas en Ticketmaster genera largas colas y alta demanda
Fanáticos agotaron el sistema virtual y físico para asegurar su ingreso al primer concierto de la banda británica en Lima, el 23 de noviembre. La venta incluye descuentos exclusivos con tarjetas Interbank y diversas opciones de compra.

Así quedaría la tabla de la Liga Peruana de Vóley 2025/2026 tras fallo a favor de Circolo y quita de puntos a San Martín
El equipo de Pueblo Libre obtuvo la victoria sobre la USMP por decisión administrativa, lo que modificó la puntuación a pocos días de disputarse la novena jornada de la segunda fase


