
Poncho de Nigris dio a conocer que su hijo menor, Toñito, fue hospitalizado de emergencia el miércoles 11 de julio tras sufrir un leve, pero aparatoso accidente mientras jugaban con Ponchito e Isabella (hijos mayores del influencer) afuera de su casa.
El influencer reaccionó al instante. Gracias a ello, se percató de que su hijo sentía mucho dolor en uno de sus brazos y de inmediato lo trasladó a un hospital.

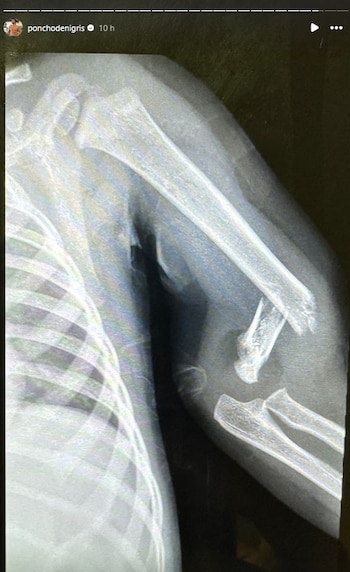
El doctor que atendió a Toñito confirmó que se fracturó su brazo a la altura del codo, por lo que tuvo que ser operado de emergencia.
“Ya lo llevamos al hospital, lo vio el doctor. Yo le sentí el bracito que estaba así zafado y fue un accidente que pasó y ya (...) lo van a tener que operar, ponerle clavos y todo eso y ahorita nos vamos a ir a dormir al hospital”, dijo.

El menor fue intervenido quirúrgicamente alrededor de las 21:00 horas y afortunadamente la operación fue todo un éxito, así lo dio a conocer Poncho de Nigris a través de sus historias de Instagram.
“Todo salió bien, gracias por sus mensajes. Ahora ya nada más recuperar, ya pasó lo feo. Son cosas que pasan, son niños, son muy inquietos, siempre se aprende de las malas, de las buenas no se aprende nada. Los hijos para mí son lo más importante en mi vida, si los trajimos al mundo, pues de perdido darles tiempo de calidad y formación. Besos y gracias”, escribió.
Hasta el momento se desconoce cuándo será dado de alta Toñito, pero es muy probable que el influencer comparta esa información a través de sus redes sociales.

Mientras tanto, Marcela Mistral pidió oraciones por la pronta recuperación de su bebé e informó que ya despertó de la anestesia: “Nos dieron permiso de darle agua y leche. Con eso se tranquilizó abismalmente (...) la cirugía fue un éxito a pesar de lo aparatoso por su edad”.
Más Noticias
¿Qué pasó con el chofer de la unidad implicada en el accidente donde murieron los hijos del CEO de BBVA y socio de AT&T?
El empleado fue identificado como Alex ‘N’, originario del municipio de Villa de Allende, Edoméx

“Antes ni eso tenían”: Sheinbaum insiste en que mantiene diálogo con la CNTE, pero señala “temas complejos” para lograr acuerdo
La presidenta afirmó que los secretarios de Gobernación y la SEP se reúnen continuamente con los mestros en los estados

Metro CDMX y Metrobús hoy 19 de marzo: retrasos en tres líneas del STC por alta afluencia
Información y actualización del servicio de transporte público en la capital este jueves

Esta es la primaria donde Nayelli “N”, la maestra de Tláhuac, habría grabado a sus alumnos en el baño
El caso involucra directamente a este plantel, donde la docente impartía clases e instaló cámaras de videovigilancia en baños escolares

Revisión del T-MEC: México prioriza eliminar aranceles en la industria automotriz, acero y aluminio
El pasado 18 de marzo comenzó la primera ronda de conversaciones para la revisión del T-MEC entre México y Estados Unidos



