
Un anciano de 84 años llegó al hospital con dolencias habituales para su edad. No se había sentido bien en las últimas semanas y recientemente sintió debilidad en su brazo izquierdo y su pierna. Por otra parte, su historial médico no arrojaba nada llamativo: no fumaba, no solía beber y un examen de sangre no halló nada anormal. Nada indicaba que no tenía una parte de su cerebro.
"No había confusión, debilidad facial, visual o perturbación del habla", reportaron los médicos. "Se sentía bien, independiente y con actividades físicas en su rutina y vivía con su esposa y dos hijos", señalaron en su informe publicado por el portal BMJ Case Reports.
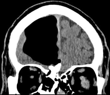
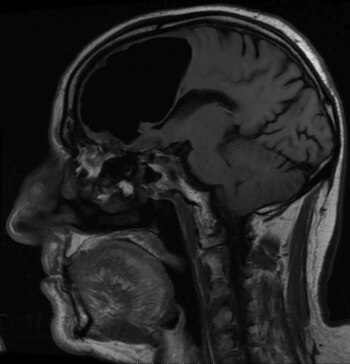
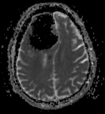
La sorpresa llevó luego de realizarle una tomografía y una resonancia magnética. No podían creerlo: prácticamente todo el lóbulo frontal derecho de este sujeto estaba desaparecido. Solo veían un espacio en blanco (o en negro).
"Todos estábamos perplejos por lo que vimos", relató Finlay Brown, médico del departamento de emergencias del hospital Causeway en Coleraine (Irlanda del Norte), en declaraciones al Washington Post.

Lo primero que pensaron fue que el paciente había olvidado mencionar una operación cerebral o algún defecto de nacimiento, pero no era el caso.
Según determinaron, el paciente sufría de neumocefalia, la presencia de aire en el cráneo, una condición que suele presentarse en casos de cirugía al cerebro, infecciones o heridas faciales, aunque con burbujas o espacios de aire mucho más pequeños.
En este caso, la cavidad llegaba a medir casi nueve centímetros de largo en su parte más grande, algo difícil de encontrar en los libros de historia médica.
La causa más probable, según el equipo de investigadores, fue un tumor benigno formado en los senos paranasales del paciente, que erosionaron la base del cráneo y permitieron la formación de la cavidad.

"De lo que hablé con especialistas, parece ser que ha crecido durante meses o años. Cuando el paciente tosía, estornudaba o aspiraba, probablemente estaba empujando pequeñas cantidades de aire a su cabeza", explicó Brown.
Ante el inusual panorama, el caso presentaba dos alternativas: una riesgosa cirugía para aliviar la presión y descomprimir la cavidad, y otra intervención, también peligrosa, que eliminaría el tumor que causó la situación.
Sin embargo, el paciente declinó ambas opciones, considerado su elevada edad, y recibió medicación para evitar un segundo accidente cerebrovascular, con monitoreo de su fuerza muscular en el lado izquierdo.
De todas formas, los médicos advirtieron que hay un riesgo considerable de infección, ya que el aire permite la circulación de bacterias y virus muy cerca al cerebro.
Brown señaló que el paciente "continuaba sintiéndose bien" y mejoró del malestar que tenía. No obstante, indicó que la publicación del caso fue realizada con el objetivo de resaltar la importancia de investigar de los síntomas más comunes como posible signo de un caso de gravedad.
(Con información de Amy B Wang/Washington Post)
MÁS SOBRE ESTE TEMA:
Últimas Noticias
Belgrano le ganó 1-0 a Estudiantes de Río Cuarto y es el nuevo líder de la Zona B del Torneo Apertura
El Pirata se impuso al León como visitante y llegó a la cima del grupo. Además, Talleres le ganó 2-0 a Instituto y hubo sendos empates en Defensa-Central Córdoba y Riestra-Gimnasia de Mendoza

Tu PC ahora es una consola: Microsoft lanza ‘Xbox Mode’ para transformar Windows 11
La función permite a los usuarios alternar de manera fluida entre productividad y entretenimiento

Revelan el impresionante operativo de captura de Javier Arias ‘Stunt’: hallaron armas, municiones y fajos de dinero
El procedimiento se desarrolló después de un seguimiento de varios días, durante el cual las autoridades hallaron además equipos electrónicos y de comunicación que serán analizados por peritos judiciales

Con drones y patrullajes, Jalisco blinda sus fronteras para evitar entrada de grupos criminales
Juan Pablo Hernández, secretario de seguridad del estado, afirmó en conferencia de prensa que los trabajos se realizan coordinadamente entre los tres ordenes de gobierno

Paro de transportistas EN VIVO hoy jueves 12 de marzo: carga pesada, taxistas y mototaxistas paralizan por crisis de gas
Los gremios de transporte exigen la exoneración temporal de impuestos al diésel, la reactivación del fondo de compensación y la revisión de peajes. También reclaman subsidios y medidas urgentes frente a la crisis energética



