
A pesar de que los tratamientos oncológicos en el país deben ser cubiertos al 100% por los diferentes prestadores de salud, con frecuencia los pacientes encuentran obstáculos que demoran el acceso a las medicaciones. De hecho, en 2019, la Asociación Alma recibió alrededor de 150 inquietudes de pacientes con leucemia que no estaban pudiendo recibir en tiempo y forma el tratamiento que les indicó su médico. En enfermedades de este tipo, el tiempo puede ser determinante y cada día de retraso puede afectar seriamente la evolución del cuadro y el pronóstico.
“De nada sirve tener aprobados y a disposición los mejores medicamentos que se desarrollan a nivel mundial, si luego no llegarán a los pacientes que los necesitan. Las razones que brindan los prestadores de salud para demorar o frenar el acceso a los tratamientos son de las más variadas: que falta una firma o un sello en uno de los papeles, que al médico le faltó pedir un estudio determinado, que la fotocopia no tiene validez o que la carta tenía que contener una explicación que no tiene, por citar algunas”, sostuvo Fernando Piotrowski, director ejecutivo de la Asociación Alma.
Desde Alma, reconocieron que existe la posibilidad de que esos 150 pacientes que se contactaron con la asociación pidiendo ayuda solo sean la punta del iceberg y que haya muchos otros que se desanimaron ante el primer obstáculo y no hicieron nada más para obtener los medicamentos que necesitan para controlar su enfermedad. Según datos del Ministerio de Salud de la Nación, prácticamente tres mil argentinos son diagnosticados por año con algún tipo de leucemia.

A la asociación le preocupa que estas enfermedades representan una enorme carga para el paciente y para su entorno, y a esta situación crítica se suman en ocasiones los obstáculos que aparecen para acceder al tratamiento, lo que es muy angustiante y se da en ese marco de vulnerabilidad y desamparo.
“Parte de nuestra tarea como organización consiste en acompañar a los pacientes en su transitar por la enfermedad y asesorarlos. Tras interactuar durante años con el Banco Nacional de Drogas Oncológicas, con el Ministerio de Desarrollo Social, con PAMI, IOMA, OSDE y otros prestadores de salud, decidimos sistematizar todo ese aprendizaje y conocimiento en Asociación Alma App, una aplicación que facilita la navegación del sistema de salud en temas de acceso, tanto para el inicio de un tratamiento como para la renovación de expediente o su continuación. Queríamos simplificar el camino de los pacientes en el manejo de su leucemia”, explicó Piotrowski.
La plataforma es muy sencilla: recopila una serie de datos del paciente, incluyendo qué enfermedad tiene diagnosticada, el tratamiento indicado por el especialista y cuál es su prestador de salud. A partir de esta información, se le devuelve en forma automática y pormenorizada el detalle de trámites que debe realizar (formularios para llenar, estudios que necesita presentar, detalles que debe brindar el médico, originales y fotocopias, entre otras).

“Desde Alma, estamos muy entusiasmados con esta nueva herramienta y confiamos en que contribuya a mejorar el acceso y navegación del sistema de salud. Tanto los médicos como los pacientes tendrán la guía disponible con esta app y todo el detalle del paso a paso. Esta permitirá además que se contacten de manera automática e intuitiva con nosotros, agilizando la solución de cualquier inconveniente”, destacó Piotrowski.
Cada vez con mayor frecuencia, los pacientes son protagonistas del camino que deben recorrer tras ser diagnosticados con una enfermedad oncohematológica. Por eso, es particularmente importante que cuenten con herramientas útiles y confiables para estar informados y tomar las mejores decisiones en esta etapa.
La app, que está disponible para su descarga gratuita en App Store y Google Play, incluirá a todas las enfermedades que se trabajan en Alma. Al día de hoy, está operativa para la leucemia mieloide crónica y leucemia linfocítica crónica, y para IOMA, PAMI y el Banco de Drogas de Provincia de Buenos Aires y de Nación. Progresivamente, se irán incorporando nuevos prestadores, patologías y funcionalidades.
El riesgo de las demoras

“En el abordaje de enfermedades de este tipo, primero es muy importante llegar cuanto antes al diagnóstico certero, porque en ocasiones los síntomas son difusos (decaimiento, fiebre, escalofríos, sudoración nocturna o hematomas) y el paciente puede descompensarse si no es abordado a tiempo. Una vez que se sabe qué tipo de leucemia tiene, hoy también se va a buscar qué subtipo molecular presenta, porque puede ser un dato vital para la decisión sobre el tratamiento a seguir”, explicó Beatriz Moiraghi, médica de planta del Servicio de Hematología del hospital Ramos Mejía.
En algunos casos, continuó el especialista, el tiempo es oro: “en las leucemias agudas, como la mieloide aguda, que es la más frecuente, el tratamiento debe iniciarse de inmediato, porque la progresión de la enfermedad es súbita. Por lo general, el paciente directamente queda internado al dar con el diagnóstico habiendo ingresado por Guardia. En ese caso, el médico tratante determinará si indica quimioterapia o si el paciente necesita algún otro abordaje dadas sus características particulares”, agregó Moiraghi.
Para leucemias crónicas, como la mieloide o la linfocítica, quizás no sea tan determinante iniciar el tratamiento ese mismo día, pero tampoco es aceptable una demora de varios meses. Lo que seguro debe evitarse es la interrupción del tratamiento por causas ajenas a la indicación médica. Si el paciente está controlando su enfermedad con el medicamento que está recibiendo, tiene que poder cumplir en tiempo y forma con el esquema de administración sugerido por su médico”, remarcó Moiraghi.

“Si motivos burocráticos o financieros interrumpen un tratamiento que está siendo exitoso en enfermedades tan delicadas como éstas, se está prácticamente ante un abandono de persona. Es inconcebible, porque a los pacientes se les va la vida en ello”, completó Piotrowski.
Según el tipo de leucemia y la edad y características del paciente, las opciones de tratamiento consisten fundamentalmente en quimioterapia, radioterapia, terapias dirigidas y trasplante de médula ósea.
En el último tiempo, explicó Moiraghi, se han desarrollado diferentes tratamientos para abordar las distintas leucemias, más eficaces y seguros, con menos efectos adversos y riesgos que la quimioterapia, aunque ésta siga siendo un pilar del tratamiento del cáncer. Inclusive, algunos abordajes son de ‘tratamiento finito’, es decir que se indican por un tiempo determinado en el que la enfermedad se lleva a niveles indetectables y no regresa luego de suspender la administración de la medicación.
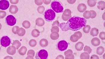
Las células sanguíneas son producidas por la médula ósea. A medida que se dividen y maduran, van transformándose en células sanguíneas de diferentes tipos,. Cuando una de las células que va a formar glóbulos blancos cambia y se convierte en una célula de leucemia, ya no madura normalmente. Generalmente, se divide más rápido de lo normal. Las células leucémicas no mueren cuando deberían hacerlo, sino que se acumulan en la médula ósea reemplazando a las normales. En algún momento, éstas pasan de la médula ósea al torrente sanguíneo, incrementando el número de glóbulos blancos en sangre.
SEGUÍ LEYENDO
Últimas Noticias
Bebidas azucaradas relacionadas con una mayor ansiedad en adolescentes
Healthday Spanish

Ultramaratón agota glóbulos rojos de atletas, según un estudio
Healthday Spanish

Nunca es tarde para que los pacientes con cáncer se activen, según un estudio
Healthday Spanish

Salmonela resistente a medicamentos vinculada al suplemento de moringa
Healthday Spanish

Tasas de pérdida auditiva y tinnitus más que duplicados entre los músicos
Healthday Spanish



