
Una simple capa invisible que se acumula sobre los dientes puede convertirse en la causa de problemas graves si no se elimina a tiempo. La placa dental afecta a millones de personas y representa un enemigo silencioso para la salud bucal.
Según Cleveland Clinic, no eliminarla puede provocar complicaciones como gingivitis, periodontitis y la pérdida de dientes. La institución destaca que la higiene diaria es clave tanto para evitar molestias inmediatas como para proteger la salud a largo plazo.
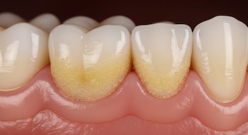
Qué es la placa dental y por qué se endurece
La placa es una capa blanda y pegajosa que se forma constantemente sobre la superficie de los dientes debido a la alimentación y la acción de la saliva. Tenika Patterson, higienista dental de Cleveland Clinic, explica que si esta placa no se retira en un lapso de 24 horas, se endurece y se convierte en sarro, una sustancia que solo puede ser eliminada por el odontólogo.

Cuando la placa se transforma en sarro, crea el ambiente perfecto para que microorganismos nocivos prosperen. Estos desencadenan una reacción inflamatoria en las encías, originando enfermedades como la gingivitis. Si no se trata a tiempo, puede avanzar y convertirse en periodontitis, una afección grave que destruye el hueso y puede causar la pérdida de dientes.
Estrategias de higiene para prevenir el sarro
La eliminación regular de la placa depende de una rutina adecuada de higiene bucal. El uso de hilo dental es fundamental. Patterson recomienda emplearlo cada noche antes del cepillado, envolviéndolo alrededor de cada diente en forma de “C” y deslizándolo suavemente para remover la placa entre los dientes y bajo la línea de las encías.
No todos los métodos alternativos son igual de eficaces. Los dispositivos de chorro de agua pueden complementar la limpieza interdental, pero no sustituyen al hilo dental tradicional. Los palitos plásticos dentales son útiles en ocasiones puntuales, aunque no reemplazan una limpieza completa.
El cepillado correcto es otra línea de defensa. Cleveland Clinic sugiere cepillarse dos veces al día con cepillos de cerdas suaves o extrasuaves. Patterson advierte que usar demasiada presión o cerdas duras puede desgastar el esmalte y dañar las encías.

Tanto los cepillos eléctricos como los manuales son eficaces si se usa una buena técnica. Estos, ofrecen ventajas como el movimiento circular automatizado y un temporizador para cumplir con los dos minutos recomendados de cepillado.
Patterson aconseja dividir la boca en cuatro partes y dedicar treinta segundos a cada una. Usar una pasta dental con flúor es fundamental, ya que este mineral refuerza el esmalte y ayuda a prevenir caries.
Alimentación, controles y señales de alerta
La alimentación también influye en la prevención de la placa. Cleveland Clinic recomienda consumir frutas y verduras crujientes, como manzanas, apio y zanahorias. Estos alimentos ayudan a desprender la placa al masticarse además de aportar nutrientes.
Aunque se mantenga una higiene estricta en casa, las consultas regulares con el odontólogo siguen siendo esenciales. Patterson señala que la limpieza profesional y el control dental cada seis meses es el “estándar de oro”.

Quienes acumulan placa rápidamente pueden requerir visitas cada tres o cuatro meses. Estas consultas permiten detectar caries, enfermedades de las encías y otros problemas bucales, incluyendo signos tempranos de cáncer oral.
Si la placa no se elimina, se endurece y se convierte en tártaro, protegiendo a las bacterias bajo la línea de las encías. Esto provoca inflamación y puede avanzar hasta periodontitis y pérdida de dientes si no se trata a tiempo.
Expertos de Cleveland Clinic subrayan que mantener hábitos básicos y consistentes —hilo dental, cepillado disciplinado, dieta favorable y controles odontológicos regulares— es la estrategia más eficaz para prevenir problemas bucales. Dedicar unos minutos diarios al cuidado dental es una manera sencilla de evitar complicaciones futuras y conservar una sonrisa saludable toda la vida.
Últimas Noticias
Cuántas horas de sueño son necesarias para lograr una recuperación muscular efectiva
El tiempo dedicado al descanso nocturno influye directamente en la reparación de los músculos y en el rendimiento físico, mientras reduce las molestias y potencian el desempeño deportivo al día siguiente

Por qué el arroz con huevo brinda los mismos beneficios que la carne roja en proteínas, según los expertos
Especialistas en nutrición afirman que esta combinación se posiciona como una alternativa saludable y sostenible, que ayuda a equilibrar la dieta a un bajo costo

Qué es el entrenamiento neuromuscular, el ejercicio que impulsa la coordinación y revoluciona la prevención de lesiones
Esta disciplina integra avances de la neurociencia con el entrenamiento mediante herramientas innovadoras que permiten optimizar la estabilidad, la agilidad y la seguridad en la práctica deportiva y cotidiana

La creatina, más allá del deporte: cuáles son sus beneficios para la salud cerebral, según la ciencia
Diversos estudios científicos atribuyen a este suplemento propiedades que influyen sobre la memoria y la rapidez mental. Cómo esta sustancia puede abrir nuevas perspectivas en el campo de la neurociencia y el bienestar cognitivo

No solo perros: los pequeños animales domésticos también favorecen la salud mental infantil
Dos investigaciones europeas revelaron que la convivencia estable con hámsteres, conejos, tortugas o peces brinda beneficios emocionales a los niños



