
Lo que para muchos pasajeros parece una posición cómoda durante un viaje en automóvil —subir los pies al tablero frente al asiento del copiloto— en realidad representa un riesgo extremo para la salud. En caso de un accidente, aunque sea leve, esta postura puede provocar lesiones graves e irreversibles, como fracturas múltiples en piernas, caderas y columna, además de daños internos y en algunos casos, la muerte.
Las autoridades de tránsito y seguridad vial en varios países han advertido desde hace años sobre esta práctica peligrosa. Aun así, sigue siendo común ver a personas, especialmente jóvenes y adolescentes, adoptando esta posición durante trayectos largos o cortos. Lo que muchos desconocen es que en caso de una colisión o frenado brusco, el airbag se despliega con una fuerza explosiva, alcanzando velocidades de hasta 300 km/h. Si los pies están sobre el tablero, ese mismo mecanismo de seguridad se convierte en una fuente de daño.

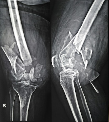
El propósito del airbag es proteger el torso y la cabeza en una colisión, pero solo funciona correctamente cuando el pasajero está en posición vertical y con el cinturón de seguridad colocado adecuadamente. Cuando alguien lleva los pies en alto, el cuerpo queda en una postura vulnerable y desequilibrada. Si ocurre un choque, las piernas pueden ser lanzadas hacia el rostro con una fuerza violenta, provocando fracturas expuestas, desplazamiento de caderas, rotura de ligamentos e incluso traumatismos craneales.
Casos documentados en hospitales y servicios de emergencia confirman que las lesiones más comunes en estos escenarios incluyen: fracturas de fémur, pelvis y tibia, rotura de rótulas, lesiones de columna vertebral y daño severo en articulaciones. Muchas de estas lesiones requieren cirugías múltiples, largos procesos de rehabilitación e incluso pueden dejar discapacidades permanentes.
Además, si el accidente ocurre a alta velocidad, la posición incorrecta del cuerpo también puede interferir con el funcionamiento del cinturón de seguridad, aumentando el riesgo de ser expulsado del vehículo o de sufrir un impacto letal contra otras partes del habitáculo.

Por estas razones, expertos en seguridad vial recomiendan siempre mantener una posición erguida y con los pies firmemente apoyados en el suelo del vehículo. El respaldo debe estar en un ángulo moderado, y el cinturón de seguridad debe ajustarse sobre el pecho y las caderas. Subir los pies, reclinarse demasiado o girar el cuerpo hacia el costado del asiento incrementa las probabilidades de sufrir lesiones graves en caso de accidente.
La comodidad nunca debe estar por encima de la seguridad. Viajar relajado es importante, pero también lo es llegar con vida y sin daños permanentes. Evitar este hábito, por más inofensivo que parezca, puede marcar la diferencia entre una experiencia desagradable y una tragedia irreversible.
Más Noticias
Siguen investigaciones por asesinato de Carlos Manzo: Grecia Quiroz afirma que faltan cuatro detenidos
La alcaldesa de Uruapan pidió no descartar un móvil político en el caso del asesinato de su esposo

Resultados del Melate, Revancha y Revanchita del 20 de marzo
Aquí los resultados del sorteo Melate dados a conocer por Pronósticos y averigue si ha sido uno de los ganadores

¿Ganaste el Chispazo? Descubre aquí los resultados de los sorteos del 20 de marzo
El sorteo de Chispazo se realiza dos ocasiones al día, a las 15:00 horas y a las 21:00 horas, de lunes a domingo. Esta es la combinación ganadora de los sorteos de hoy

Murales de BTS aparecen en la CDMX: estas son las ubicaciones para tomarte la foto
Con la llegada del nuevo álbum y la expectativa por los próximos conciertos, el fandom impulsó la creación de murales que celebran el impacto del grupo en el país

Jugará en Monterrey: Japón revela el uniforme que vestirá en el Mundial 2026
Los diseños retoman el azul japonés y el horizonte costero que rinden tributo a los símbolos del béisbol y la unión del equipo

