
A un niño de 10 años en Irán le extrajeron una aguja de coser que se había insertado en el pene y le quedó atascada en la uretra.
El niño fue llevado al hospital después de que empujó el objeto de 9 centímetros de largo dentro del agujero de su genital y trató de sacarlo durante tres horas sin tener éxito.
El caso médico fue reportado en un artículo científico publicado en la revista Urology Case Reports, pues para extraer la aguja los cirujanos tuvieron que implementar una táctica inédita.
Los médicos dijeron que la aguja había sido insertada en la uretra por el extremo romo, dejando la parte afilada sobresaliendo del glande. No está claro las razones que motivaron al niño a insertarse la aguja pero los investigadores citaron, entre otras, la curiosidad, el placer o un breve episodio psicológico.
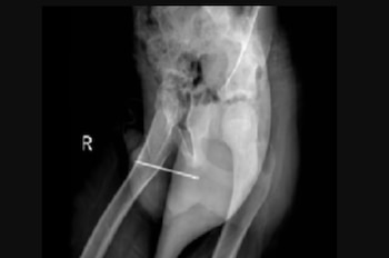
Sin embargo, también señalaron que el niño no tenía antecedentes de problemas de salud mental. Aunque los detalles del caso son escasos, se informó que los rayos X mostraron el objeto afilado en una posición que dificulta su extracción utilizando métodos normales, como empujarlo fuera del pene por la misma uretra
Después de darle al niño anestesia para adormecer el área, empujaron manualmente el extremo romo de la aguja hasta que la punta afilada penetró en la piel y lo sacaron por ese orificio.
Serajoddin Vahidi, el urólogo principal de la Universidad Shahid Sadoughi que lo trató, dijo que era la primera vez que el método se realizaba con éxito.
Cuando los objetos se atascan en la uretra, a veces se pueden exprimir físicamente por la punta del pene.
Pero los médicos que trataron al niño temían que quitarle la aguja con este método conllevaba un alto riesgo de dañar sus genitales.

Seis meses después del procedimiento, el niño pudo orinar sin problemas, lo que sugiere que no hubo daños duraderos por el procedimiento.
Los médicos agregaron que se consultó a psiquiatría pediátrica antes de que el paciente fuera dado de alta tras descartar maltrato infantil y otros trastornos.
Los autores del informe del caso dijeron que su nuevo método representa una técnica alternativa a entrar por la abertura del pene y sacar objetos similares.
A veces, si los objetos insertados en el pene no pueden extraerse por su tamaño o posición, el paciente debe someterse a una cirugía para extraer el objeto.
En China, un niño de 14 años tuvo que someterse a una cirugía de dos horas para extraer una aguja de acupuntura de 11 cm que se había insertado en el pene para ayudarlo a mantenerse despierto mientras estudiaba.
Se sabe que los niños se llevan objetos extraños a la boca, los oídos, la nariz y los ojos por curiosidad.
Los expertos dicen que están experimentando con el mundo que los rodea y están aprendiendo qué sucede cuando prueban cosas diferentes.
En pacientes adultos que presentan objetos extraños alojados en su cuerpo, a menudo puede ser el resultado de la experimentación sexual.
SEGUIR LEYENDO
Últimas Noticias
El futuro del abrigo podría estar en la piel: crean una crema con bacterias que producen calor en temperaturas extremas
La tecnología, probada en modelos animales, abre la puerta a nuevas soluciones personalizadas para trabajadores, deportistas y exploradores expuestos a frío intenso

De la ficción al laboratorio: cómo los científicos desmontan el mito de los dinosaurios venenosos
Analizar dientes, huesos y tejidos fósiles ayuda a entender el ecosistema mesozoico y a separar los hechos reales de las historias creadas por el cine y la imaginación popular

El secreto de los neandertales: organización y táctica fueron las claves de la caza del elefante de colmillos rectos
El análisis de restos fósiles y químicos confirma que la estructura social avanzada fue fundamental en la obtención de grandes recursos alimenticios. Cómo lo hacían

Las 11 claves para proteger la salud del corazón y el cerebro, según una nueva guía médica
Fue publicada por un grupo de expertos en una revista científica de Canadá. Por qué pone énfasis en incorporar la voz y preferencias de cada persona para lograr mejores resultados en la atención

Cómo una técnica pensada para terremotos podría revolucionar la gestión de los campos agrícolas
La aplicación de métodos sísmicos en parcelas cultivadas revela cómo las prácticas tradicionales modifican los canales internos del suelo y ofrece a los productores datos precisos para tomar decisiones informadas frente a desafíos ambientales y productivos


