
Investigadores han desarrollado una cepa de SARS-CoV-2 que desencadena síntomas graves de COVID-19 en ratones, un avance que podría acelerar la creación de medicamentos y vacunas y ayudar a esclarecer la biología de la enfermedad, advierten los hallazgos de un estudio aún no revisado por pares publicado en la revista científica Nature.
Los ratones no son naturalmente susceptibles a la infección por SARS-CoV-2. Esto se debe a que el virus no reconoce la versión de ratón de un receptor llamado ACE2, que el virus usa para ingresar a las células. Los científicos han ideado varias soluciones, incluido el desarrollo de variantes del SARS-CoV-2 que reconocen la ACE2 del ratón. Tales esfuerzos han resultado útiles, pero hasta ahora los modelos de ratón de infección por coronavirus no han reproducido síntomas clave de COVID-19 grave, como una infección pulmonar prolongada.
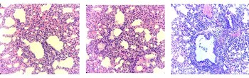
Para desarrollar un modelo más fiel, Vineet Menachery, de la rama médica de la Universidad de Texas en Galveston, Texas, y sus colegas primero infectaron ratones con cepas de SARS-CoV-2 adaptadas a los roedores, luego recolectaron el virus de los pulmones de los animales, infectaron a más ratones y repitieron el proceso. Estos “pases en serie” eventualmente generaron una cepa de SARS-CoV-2 que causó una pérdida de peso significativa, daño pulmonar y otros signos de enfermedad.

Luego, el equipo probó los anticuerpos generados por ratones infectados con esta cepa. Estos anticuerpos impiden que una cepa humana del SARS-CoV-2 infecte las células en el laboratorio, lo que sugiere que el virus adaptado al ratón desencadena una respuesta de anticuerpos similar a la de las personas infectadas con el SARS-CoV-2, una similitud que hará que el virus sea más útil para estudios sobre la naturaleza de la inmunidad generada por las vacunas y la infección previa.
“Es importante destacar que la adaptación al ratón del SARS-CoV-2 no altera la replicación en las células de las vías respiratorias humanas y mantiene una antigenicidad similar a la de las cepas humanas del SARS-CoV-2. Utilizando este modelo, demostramos que los ratones infectados con SARS-CoV-2 están protegidos del desafío letal con el SARS-CoV original, lo que sugiere inmunidad frente a cepas de CoV heterólogas. Juntos, los resultados destacan la utilidad de este modelo de ratón para el estudio adicional de la infección y enfermedad del SARS-CoV-2″, reza la investigación.

Recientemente, una posible nueva vacuna desarrollada por miembros del Duke Human Vaccine Institute (DHVI) demostró ser eficaz para proteger a monos y ratones de una variedad de infecciones por coronavirus, incluido el SARS-CoV-2, así como el SARS-CoV-1 original y coronavirus relacionados con murciélagos que potencialmente podrían causar la próxima pandemia.
Según otra investigación publicada en la revista científica Nature, la nueva vacuna, llamada vacuna pan-coronavirus, activa anticuerpos neutralizantes a través de una nanopartícula. La nanopartícula está compuesta por la parte del coronavirus que le permite unirse a los receptores celulares del cuerpo y está formulada con un refuerzo químico llamado adyuvante. El éxito en primates es muy importante para los humanos.
“Comenzamos este trabajo la primavera pasada con el entendimiento de que, como todos los virus, se producirían mutaciones en el virus SARS-CoV-2, que causa COVID-19”, dijo el autor principal Barton F. Haynes, director del DHVI. Y aseveró: “Las vacunas de ARNm ya estaban en desarrollo, por lo que estábamos buscando formas de mantener su eficacia una vez que aparecieran esas variantes”.
“Este enfoque no solo brindó protección contra el SARS-CoV-2, sino que los anticuerpos inducidos por la vacuna también neutralizaron variantes preocupantes que se originaron en el Reino Unido, Sudáfrica y Brasil. Y los anticuerpos inducidos reaccionaron con un panel bastante grande de coronavirus”, sostuvo el especialista.
SEGUIR LEYENDO:
Últimas Noticias
Quién fue Rosalind Franklin, la científica detrás del descubrimiento de la estructura del ADN
El 28 de febrero de 1953 el biólogo James D. Watson y el biofísico Francis Crick anunciaron que habían descubierto “el secreto de la vida”. El aporte de la investigadora británica resultó clave en el hallazgo; sin embargo por muchos años su papel fue ignorado

Alineación planetaria 2026: cómo y cuándo ver hoy el desfile planetario de seis mundos en el cielo
Esta noche, el cielo nocturno ofrecerá un evento astronómico excepcional: seis planetas del sistema solar coincidirán en una misma franja visible poco después del atardecer, en lo que se conoce como “desfile planetario 2026”

La clave biológica que convierte a los loros en los grandes imitadores del reino animal
El hallazgo de una estructura única permite entender por qué ciertas especies pueden copiar palabras humanas, marcando un antes y un después en la investigación sobre comunicación animal

Alertan por la llegada en la región de un hongo que salta de gatos a humanos
La llegada a Uruguay de Sporothrix brasiliensis, una variante más agresiva que la tradicional “enfermedad del jardinero”, desafía la vigilancia epidemiológica y plantea nuevos riesgos de transmisión zoonótica

“Rostro de dragón” y cresta gigante: así es el dinosaurio hallado en el Sahara que sorprende a la paleontología mundial
El fósil, identificado como Spinosaurus mirabilis, posee una mandíbula alargada y una cresta ósea sin precedentes, características que alimentaron comparaciones con criaturas míticas y generan nuevas preguntas sobre la evolución de los grandes depredadores prehistóricos



