
En algunos de los rincones más remotos y pobres del mundo, donde abundan las enfermedades respiratorias y los profesionales de la salud calificados temen poner un pie, cada vez es más común que la inteligencia artificial y el internet den los diagnósticos.
En menos de un minuto, una nueva aplicación de celular o computadora puede escanear una radiografía en busca de síntomas de tuberculosis, COVID-19 y otras 27 enfermedades.
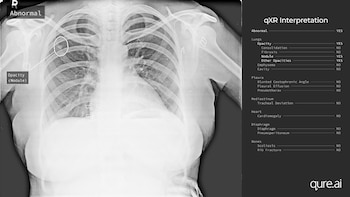
El año pasado, la tuberculosis, la enfermedad infecciosa más letal del mundo, cobró la vida de casi 1,4 millones de personas. La aplicación, llamada qXR, es una de las muchas herramientas basadas en inteligencia artificial que han surgido en los últimos años para detectar y diagnosticar la tuberculosis.
Las herramientas ofrecen la esperanza de alertar la presencia de la enfermedad con anticipación y reducir el costo de pruebas de laboratorio innecesarias. A gran escala, también podrían localizar grupos nacientes de brotes de la enfermedad.
“De todas las aplicaciones de inteligencia artificial, creo que las más avanzadas son las que hacen una interpretación digital de una imagen por medio de un algoritmo en lugar de un radiólogo humano”, comentó Madhukar Pai, el director del Centro Internacional McGill para la Tuberculosis en Montreal.
La inteligencia artificial no puede remplazar a los médicos clínicos, advirtieron Pai y otros expertos. Sin embargo, la combinación de la inteligencia artificial y la experiencia clínica está demostrando ser poderosa.

“La máquina más el médico clínico es mejor que el médico clínico solo, y también es mejor que la máquina sola”, opinó Eric Topol, director del Instituto Traslacional de Investigación Scripps en San Diego y autor de un libro sobre el uso de la inteligencia artificial en la medicina.
En India, donde se da una cuarta parte de los casos de tuberculosis en el mundo, se necesita con urgencia una aplicación que pueda alertar sobre la enfermedad en lugares remotos.
El Hospital Chinchpada Christian en Nandurbar, un pequeño pueblo al noroeste de India, atiende a miembros de la comunidad tribal bhil, algunos de los cuales viajan hasta 200 kilómetros para visitar el centro. El hospital tiene 50 camas, ocho doctores y apenas el equipo médico más rudimentario.
Del otro lado del país, Simdega, uno de los 20 distritos más pobres de India, está aislado de la ciudad más cercana, Rourkela, a casi cinco horas de viaje en caminos llenos de baches. La población tribal del distrito vive en diminutos caseríos rodeados de bosques densos y perennifolios. El centro médico de Simdega, con 60 camas y tres doctores, está en un claro del bosque, “literalmente en medio de la nada”, comentó George Mathew, el director.
“La tuberculosis suele quedar desatendida y a menudo demora el diagnóstico”, comentó Ashita Singh, directora de medicina en el hospital de Nandurbar. Para cuando la gente llega a estos centros médicos, suele “estar muy pero muy enferma y no ha sido evaluada en otra parte”, agregó Singh.
No obstante, en algunos pacientes, las radiografías muestran síntomas demasiado sutiles para el ojo inexperto. “En ese grupo de pacientes, la tecnología de inteligencia artificial puede tener un gran beneficio”, afirmó Singh.

La llegada del coronavirus —y el encierro que le siguió— aisló a estos hospitales remotos de los pueblos más cercanos y de los radiólogos. También demoró y complicó más los diagnósticos de tuberculosis porque las dos enfermedades afectan los pulmones.
Hace algunos meses, ambos nosocomios comenzaron a usar qXR, una aplicación creada por la empresa india Qure.ai y subsidiada por el gobierno indio. La aplicación le permite al usuario escanear una radiografía. Si encuentra evidencia de tuberculosis, le asigna una calificación de riesgo al paciente. Los doctores pueden realizar pruebas de confirmación a los pacientes con el riesgo más alto.
En el hospital de Nandurbar, en octubre, la aplicación ayudó a diagnosticar la tuberculosis en 20 pacientes, según Singh.
Las aplicaciones como qXR también podrían ser útiles en lugares con baja prevalencia de tuberculosis y para revisiones rutinarias de gente con VIH, quienes corren un alto riesgo de contraer la tuberculosis, así como para quienes padecen otras enfermedades, según expertos.
“La gente que interpreta la mayoría de las radiografías de tórax de las personas sospechosas de padecer tuberculosis no está ni cerca de ser experta”, opinó Richard E. Chaisson, experto en tuberculosis de la Universidad Johns Hopkins. “Si hubiera un paquete de inteligencia artificial que pudiera interpretar las radiografías y tomografías por ti en una remota sala de urgencias, eso sería un avance de verdad inmenso”.
La aplicación qXR es una de las más prometedoras para detectar la tuberculosis dentro de las herramientas basadas en inteligencia artificial. La empresa que creó la aplicación no se percató de ese potencial hasta que un doctor de un hospital indio sugirió usarla hace unos años.
En estudios realizados por Stop TB Partnership para comparar diferentes aplicaciones de inteligencia artificial, todas las aplicaciones de inteligencia artificial tuvieron mejores resultados que las interpretaciones humanas, y al parecer el desempeño de la qXR fue el mejor.
La aplicación identifica la tuberculosis con una precisión del 95 por ciento, según el director ejecutivo de Qure.ai, Prashant Warier. Sin embargo, ese nivel de precisión no está basado en condiciones reales, “un problema común” en las aplicaciones basadas en inteligencia artificial, según Topol. Un programa para detectar tuberculosis podría ser menos preciso en Estados Unidos y Europa del Este que en India, porque la prevalencia de la enfermedad es más baja en esos lugares, agregó Topol.
La aplicación tan solo ha sido probada en adultos, pero en la actualidad se está usando en niños a partir de los 6 años. Las radiografías de tórax son particularmente útiles para la tuberculosis pediátrica porque el 70 por ciento de los casos en niños no se pueden confirmar con pruebas de laboratorio, comentó Silvia S. Chiang, experta en tuberculosis pediátrica de la Universidad de Brown.
“Hay una inmensa escasez de profesionales calificados que se sientan cómodos interpretando radiografías de tórax, por eso sería de gran ayuda desarrollar y validar tecnologías asistidas por computadora que interpreten radiografías de niños”, comentó Chiang.
Qure.ai afirmó que estaba probando su aplicación en niños en Bangladés y que iba a publicar los datos a inicios del próximo año. Mientras tanto, qXR y otras aplicaciones seguirán mejorando porque aprenden sobre la marcha.
“Mientras más radiografías le des a la bestia, mejor se vuelve en su trabajo”, opinó Pai.
© The New York Times 2020
Últimas Noticias
Ahorra tiempo durante las vacaciones con estas prácticas funciones para celular
Reportajes Especiales - Business

Martin Scorsese: Rob Reiner me tenía en la palma de su mano
Tengo que poder imaginar que un día, estaré en una cena o fiesta y me encontraré sentado junto a Rob, y me sentiré afortunado de tenerle como amigo

Sácale partido a la caminadora
Reportajes Especiales - Lifestyle

Son las sandalias favoritas de Brasil. Ahora, la derecha las boicotea
Reportajes Especiales - Business

La triste Navidad familiar de Kate Winslet
Reportajes Especiales - Lifestyle



