
"Quedé asombrado cuando lo vi. Mi primera reacción fue pedirles a mis colegas que confirmaran mi diagnóstico". Esas fueron las palabras que el obstetra Pierre-Emmanuel Bouet del Centro Hospitalario de la Universidad de Angers, Francia, pronunció al ser consultado por la prensa respecto a qué fue lo que pasó por su cabeza cuando hizo el descubrimiento.
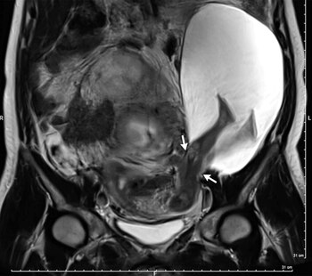
Lo que halló durante una consulta de rutina de una mujer embarazada de 22 semanas fue algo extremadamente inusual. Durante el estudio ecográfico que le realizó, pudo observar cómo dos piernas sobresalían por el costado de su útero. Eran las extremidades del bebé que estaba gestando. Las paredes de su órgano se habían roto. Era el caso número 27 registrado en la historia de la medicina.

Al contrario de lo que podría creerse, el movimiento de las piernas no fue lo que produjo la ruptura de la pared uterina. La paciente, además, no presentó ningún síntoma que alertara a los médicos. No sentía dolor, ni ningún cambio interno. Tampoco podía acusársela de no tener experiencia en embarazos: en su vientre crecía su sexto hijo, según reportó The New England Journal of Medicine.
Según Bouet, como consecuencia de sus cinco cesáreas previas, las paredes de su útero habían desarrollado una rigidez mayor de la que suele verse en los embarazos. La pared se rompió cuando fue imposible que continuara expandiéndose. Afortunadamente para la mujer, las piernas del su bebé actuaron como tapones, impidiendo una hemorragia que hubiera resultado letal para ambos.
Sin embargo, el riesgo era mayúsculo y era doble. Por un lado, el feto era aún muy pequeño para que pudiera nacer. Casi con seguridad no podría sobrevivir. Por el otro, el peligro que representaba para la madre también era alto. Bouet sugirió lo primero, pero los padres prefirieron seguir adelante unas semanas más con un monitoreo constante de la evolución. Ocho semanas después, nació su sexto hijo, mediante una cesárea. "El recién nacido vino al mundo saludable. Prematuro, pero saludable". Hoy, el niño está vivo. Y todavía patea.
LEA MÁS:
Últimas Noticias
La polémica versión sobre la pelea de Tini Stoessel con Emilia Mernes ¿por Rodrigo de Paul?: “Habría chats”
En Infama se refirieron al conflicto entre las cantantes y deslizaron otro de los motivos que habría sido un quiebre entre ambas

‘Peaky Blinders: El hombre inmortal’ encabeza el ranking de las 10 películas más populares en Netflix México
El boom de las plataformas por streaming ha cambiado la forma de ver y disfrutar el cine; Netflix no se quiere quedar atrás

Perros robot toman el control de la vigilancia en centros de datos
Estos robots patrullan perímetros exteriores, recorren salas de servidores y refrigeración para detectar anomalías como fugas de agua

10 consejos que puede seguir para que el olor de tu perfume dure todo el día
Descubre cómo pequeños cambios en la rutina pueden lograr que la fragancia favorita permanezca por más horas sin perder intensidad

Aida Victoria Merlano encendió las redes sociales con candentes fotografías en lencería
Con más de ocho millones de seguidores en Instagram, la barranquillera generó una avalancha de reacciones al posar en su cama, recibiendo elogios por su impresionante figura a solo meses de convertirse en mamá



