
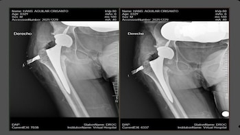
El Hospital Nuestra Señora de las Mercedes de Paita, en la región de Piura, concretó un avance significativo en el campo de la traumatología al realizar una intervención de alta complejidad: la colocación de una prótesis de cadera no cementada con cabeza de cerámica. Este tipo de operación, poco frecuente en la región, implica una actualización tecnológica y científica en los servicios médicos ofrecidos.
El beneficiario fue Hans Aguilar Crisanto, de 32 años, quien presentaba limitaciones importantes en su movilidad. Gracias a esta intervención, podrá recuperar funciones esenciales y aspirar a una reintegración activa a sus actividades cotidianas.
El proceso quirúrgico fue encabezado por el Dr. Briceño y el Dr. Borrero, ambos especialistas en traumatología, con la colaboración de distintos equipos del establecimiento sanitario.

El procedimiento reunió a profesionales y áreas clave como MOPRI, esterilización, hospitalización, anestesiología y sala de operaciones. La coordinación entre estos sectores permitió garantizar todas las condiciones necesarias para una cirugía segura y eficiente, siguiendo protocolos médicos estrictos. La sinergia institucional fue fundamental para lograr resultados óptimos y minimizar posibles complicaciones.
La elección de una prótesis no cementada de cabeza de cerámica responde a criterios de innovación y eficacia, sobre todo en pacientes jóvenes, ya que facilita una mejor adaptación al hueso y prolonga la vida útil del implante.
Esta alternativa reduce riesgos futuros y favorece una recuperación funcional más completa, evidenciando el compromiso con la actualización continua en técnicas quirúrgicas.
Con la implementación de estas prácticas, el Hospital Nuestra Señora de las Mercedes fortalece su capacidad de respuesta ante casos complejos y contribuye al desarrollo de la atención médica especializada en Paita.

Médicos operan de forma exitosa a bebé de 10 meses
El Hospital Regional Lambayeque logró un hito en la neurocirugía pediátrica de la zona al llevar a cabo una intervención pionera de reconstrucción craneal en una niña de diez meses diagnosticada con escafocefalia, trastorno congénito que modifica la estructura del cráneo debido a la fusión prematura de la sutura sagital. La paciente, identificada con las iniciales M.C.A., fue sometida a la cirugía tras una minuciosa revisión clínica y estudios radiológicos.
El proceso comenzó cuando la madre consultó por el aspecto inusual en la cabeza de su hija. Según explicó el neurocirujano Gilmar Ángeles Correa, responsable de la operación, el diagnóstico inicial se complementó con tomografías y resonancias magnéticas realizadas en el propio hospital.
“La confirmación temprana del diagnóstico fue clave para organizar una intervención a tiempo y evitar consecuencias en el desarrollo neurológico”, explicó el doctor.
La intervención, que se extendió por cuatro horas, exigió la colaboración de profesionales de distintas especialidades. El establecimiento puso a disposición tecnología avanzada, como un craneótomo de alta velocidad, permitiendo una manipulación precisa de los huesos craneales. Además, se emplearon sistemas modernos de monitorización esenciales para salvaguardar la integridad de la paciente en cada fase del procedimiento.
La finalidad de la intervención consistió en abrir las áreas donde las suturas se habían fusionado antes de tiempo, modificando la forma del cráneo para permitir el desarrollo adecuado del cerebro. Los expertos señalaron que procedimientos de esta naturaleza requieren no solo habilidad quirúrgica, sino también una preparación detallada y colaboración entre distintos profesionales.
Más Noticias
Pablo Ceppelini lanzó polémico comentario a jugador que Alianza Lima despidió: “Mereces un lugar donde te valoren”
El uruguayo lamentó la partida del mediocampista de Matute y no dudó en escribir un controversial mensaje contra el cuadro victoriano que desató reacciones en redes sociales

1 de enero: ¿Cómo estará el clima en Lima en el primer día del Año Nuevo 2026, según Senamhi?
A pocas horas de recibir el nuevo año, los limeños esperan conocer las condiciones climáticas para planificar sus actividades

BCRP hace la última compra de dólares del 2025: ¿Cuánto acumularon las 14 intervenciones?
Infobae Perú revisó todas las compras de dólares del Banco Central de Reserva y el precio a qué compró millones de dólares la entidad

¿Qué hacer si te roban el celular durante Año Nuevo? OSIPTEL detalla los pasos y contactos clave
El uso de celulares como billetera digital en Perú incrementa los riesgos de robos y fraudes durante el Año Nuevo 2026. OSIPTEL subraya la importancia de seguir un protocolo inmediato

Seis personas fueron asesinadas por día en el 2025: Ni los 17 estados de emergencia frenaron los homicidios en Perú
Solo en el gobierno de José Jerí, el Sinadef registró 444 homicidios, con un promedio de hasta seis asesinatos diarios



