Nuevo hito de la medicina española. El Hospital del Mar de Barcelona ha realizado con éxito la primera neurocirugía a un paciente de epilepsia utilizando una tecnología láser pionera. Se trata de una intervención pionera en España considerada “mínimamente invasiva”, pero con el potencial para reducir la gravedad y la frecuencia de las crisis epilépticas.
La intervención ha consistido en quemar parte del cuerpo calloso del cerebro para limitar la comunicación entre las fibras nerviosas que conectan ambos hemisferios. La callosotomía, como se denomina este procedimiento, se ha realizado tradicionalmente mediante un abordaje quirúrgico abierto, por lo que la intervención con láser evita que el cirujano lleve a cabo un corte grande en la piel para tener acceso directo al cerebro.
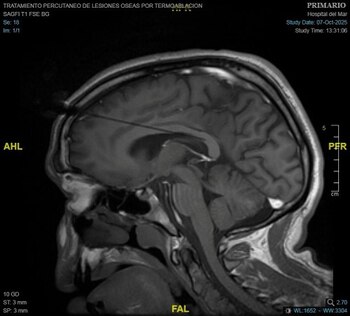
El paciente, que pasó por quirófano el pasado 7 de octubre, presentaba un tipo de epilepsia resistente al tratamiento farmacológico convencional. Al mismo tiempo, no podía ser intervenido de cirugía curativa. Tras un proceso de planificación con imágenes 3D junto al equipo de la Unidad de Epilepsia, encabezado por el Dr. Rodrigo Rocamora, se seleccionó el área del cuerpo calloso del cerebro a tratar para interrumpir la comunicación entre los dos hemisferios cerebrales. El equipo liderado por el Dr. Carlo Marras, jefe del Servicio de Neurocirugía, junto a la Dra. Nazaret Infante, médica adjunta del mismo servicio.

Según explica el hospital en un comunicado, para la realización de esta técnica "se colocan de dos a tres sondas láser a través de accesos milimétricos en el cráneo que servirán, con monitorización constante de imágenes de resonancia magnética, para realizar la intervención y obtener el resultado esperado". Así, gracias las altas temperaturas que consigue alcanzar el láser y con ayuda de un sistema robótico, se actúa sobre la zona concreta del cuerpo calloso seleccionada sin afectar las zonas del cerebro circundantes.
“Se trata de un tipo de cirugía más segura para el paciente, que recibe el alta en dos días, mientras que el abordaje habitual alarga la estancia en el hospital durante más de una semana”, añade el doctor Rodrigo Rocamora, jefe del Servicio de Neurocirugía y del Programa de Epilepsia del Hospital del Mar. Esta intervención está indicada para “aquellos pacientes que tienen caídas muy frecuentes y que ponen en riesgo su seguridad”, en tanto que se busca mejorar su calidad de vida.

500.000 personas en España sufren epilepsia
La epilepsia es un trastorno neurológico crónico caracterizado por convulsiones reiteradas y no provocadas. Estas convulsiones son episodios breves de movimiento involuntario que pueden involucrar una parte del cuerpo (convulsiones focales) o su totalidad (convulsiones generalizadas) y que, a veces, van acompañadas de pérdida de conciencia y control de la función corporal.
Según los datos que ofrece la Sociedad Española de Neurología (SEN), 500.000 españoles padecen epilepsia en España, de los cuales unos 100.000 son niños. Además, cada año se diagnostican 200.000 nuevos casos, principalmente en niños y mayores de 65 años. Siguiendo a la Organización Mundial de la Salud (OMS), son 50 millones las personas que sufren de epilepsia en todo el mundo.
*Con información de EFE
Últimas Noticias
Andreu Buenafuente regresa en clave de humor tras un parón por motivos de salud: “Es como asistir a tu funeral estando vivo”
El cómico ha retomado el ‘Nadie Sabe Nada’, en Cadena Ser, junto a su compañero de profesión y amigo Berto Romero

Un encuentro de ‘therians’ termina con cinco personas detenidas en Barcelona
La concentración ha congregado cerca de 3.000 personas en la ciudad condal, donde han intervenido agentes de la Guardia Urbana y los Mossos d’Esquadra

Estos son los resultados del sorteo de Bonoloto del 21 de febrero
Como cada sábado, aquí están los ganadores del sorteo de Bonoloto dado a conocer por Loterías y Apuestas del Estado

Tiene 90 años y lleva media vida trabajando como cajera: “No puedo estar sentada enfrente del televisor todo el día”
A las generaciones a las que antes regalaba piruletas ahora les vende esmalte de uñas

Super Once: esta es la combinación ganadora del sorteo del 21 febrero
Juegos Once compartió la combinación ganadora del sorteo 5 de las 21:15 horas




