
Madrid, 15 abr (EFE).- Un equipo de científicos ha logrado -en un trabajo realizado en ratones- revertir la obesidad y varios de los trastornos asociados a ella, como la diabetes o la hipertensión, utilizando un fármaco muy extendido en humanos para tratar enfermedades cardíacas.
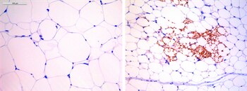
Lo han logrado en el Centro Nacional de Investigaciones Oncológicas (CNIO), donde los científicos han comprobado que la administración de ese fármaco (la digoxina) hizo que los animales perdieran hasta el 40 por ciento de su peso, comiendo incluso una dieta rica en grasa, y que se curaran de los trastornos metabólicos asociados a la enfermedad.
El trabajo, cuyas conclusiones se publican hoy en Nature Metabolism, ha sido dirigido por el investigador francés Nabil Djouder, jefe del Grupo de Factores de Crecimiento, Nutrientes y Cáncer del CNIO, que ha comprobado con su equipo cómo los ratones, obesos por estar sometidos a una dieta hipercalórica, empezaron a perder peso a las pocas semanas del tratamiento y no sufrieron efectos adversos, lo que sugiere además que no se desarrollan mecanismos de resistencia.
"No estamos tan lejos de poder usar ese fármaco en humanos para reducir la obesidad", ha explicado a EFE Djouder, y ha subrayado la importancia de encontrar ahora colaboración en hospitales o empresas farmacéuticas para realizar los necesarios ensayos clínicos y comprobar que el tratamiento es también eficaz en humanos.
El investigador ha precisado que el trabajo ha permitido comprobar en ratones cómo se reduce la hipercolesterolemia, la acumulación de grasa en el hígado, la diabetes tipo 2 y el desarrollo de cáncer de hígado, y que en los estudios epidemiológicos que han hecho en pacientes con enfermedades cardíacas que habían sido tratados con digoxina han observado también que reduce de manera significativa el colesterol.
El CNIO ha observado que la obesidad es una enfermedad inflamatoria, una reacción defensiva crónica del organismo ante la agresión que supone el exceso de nutrientes, y a partir de esa premisa los científicos se propusieron combatirla evitando la inflamación.
TRASTORNOS ASOCIADOS A LA OBESIDAD
La "digoxina" actúa reduciendo la producción de una molécula que es la que generalmente provoca la inflamación y los investigadores han descubierto que esa molécula interviene directamente en el tejido adiposo, causando la obesidad y las alteraciones metabólicas graves asociadas al sobrepeso, como la diabetes tipo 2, la hipertensión o las enfermedades cardiovasculares, además de aumentar el riesgo de padecer cáncer.
Los investigadores han observado en la publicación que en la actualidad no hay tratamientos médicos eficaces contra la obesidad, causada normalmente por una sobre-alimentación crónica y una actividad física inadecuada, por lo que este fármaco podría convertirse en una opción terapéutica.
La investigadora Ana Teijeiro, primera firmante del trabajo, ha subrayado la relevancia clínica del descubrimiento; “es tentador proponer que los pacientes con obesidad podrían tomar digoxina durante un periodo corto, hasta estabilizar la pérdida de peso, y que después sigan una dieta saludable”, ha manifestado.
El CNIO ha subrayado que de momento los resultados se han obtenido en ratones, y que por lo tanto son necesarios estudios epidemiológicos y ensayos clínicos para ser corroborado en humanos.
Además de la posible relevancia clínica, el descubrimiento tiene un valor esencial porque identifica un nexo causal entre la inflamación y el aumento de peso, lo que abre nuevas vías de investigación que pueden ser cruciales para esclarecer los mecanismos que hacen de la obesidad una enfermedad inflamatoria.
SIN EFECTOS SECUNDARIOS
"Entender bien la conexión entre el exceso de nutrientes, la inflamación y la obesidad es indispensable para encontrar abordajes novedosos para tratar el aumento de peso”, ha manifestado el investigador Nabil Djouder.
Los investigadores han precisado que las terapias basadas en los cambios de estilo de vida -intervenciones en la dieta y la actividad física- logran reducir el peso aproximadamente un 10 por ciento; y que con los fármacos que buscan incidir sobre el apetito o la absorción de grasas se consiguen reducciones de entre un 2 y un 7 por ciento.
La digoxina se utiliza desde hace tiempo para tratar el fallo cardíaco, pero nunca se había observado su efecto sobre el peso corporal, algo que los investigadores del CNIO han atribuido a que la enfermedad cardiovascular de los pacientes que la usan provoca una potente retención de líquidos que llega a enmascarar el efecto "adelgazante" del fármaco.
La dosis a la que se emplea actualmente de este medicamento en humanos es además tres veces inferior a la que se ha usado en ratones para combatir la obesidad, sin que se hayan producido efectos tóxicos, lo que sugiere que la dosis que podría utilizarse en humanos para combatir la obesidad no sería tampoco nociva.
"Hemos demostrado en ratones que una dosis 3 veces mayor que la que actualmente se utiliza en humanos sería muy eficaz para adelgazar sin provocar toxicidad ni efectos secundarios; por tanto, hay que explorar la posibilidad de aumentar la dosis en humanos y ver el efecto de la digoxina en la pérdida de peso", ha manifestado a EFE Djouder.
Este estudio del CNIO ha sido financiado por el Ministerio de Ciencia e Innovación, la Agencia Estatal de Investigación, el Fondo Europeo de Desarrollo Regional, el Instituto de Salud Carlos III, la Fundación Europea para el Estudio de la Diabetes y la Fundación Pfizer.
Últimas Noticias
La ONU ve cada vez "más desalentador" el impacto humanitario de la escalada de la violencia en Oriente Próximo
El secretario general adjunto de la organización internacional advierte que la escalada bélica afecta gravemente a civiles e infraestructuras en múltiples países, mientras organismos humanitarios denuncian consecuencias dramáticas y llaman a negociar para frenar la crisis humanitaria regional

Registrada una "fuerte explosión" cerca de un buque en aguas de Omán
Autoridades británicas investigan un incidente ocurrido a 250 kilómetros de Mascate, donde se detectó humo tras una detonación cerca de un navío, en una zona bajo tensión tras recientes ataques cruzados en la región del golfo Pérsico

Carlos Lozano, ganador de 'Gran Hermano Dúo' por delante de sus compañeras Anita y Gloria
Más del 60% del apoyo en la votación determinó que la audiencia eligiera a Carlos como el favorito de la edición, en una final marcada por la emoción, reencuentros familiares y mensajes personales de los principales protagonistas

Siria refuerza su despliegue en la frontera con Líbano e Irak ante la escalada regional de la guerra con Irán
Tras ofensiva militar lanzada por Israel y Estados Unidos contra Irán, las fuerzas sirias amplían presencia en pasos con países vecinos, buscando reforzar la vigilancia y frenar actividades ilícitas ante la tensión persistente en la región

La OMS insta a proteger los hospitales y defiende la paz como "la mejor medicina" ante el conflicto en Irán
El líder de la Organización Mundial de la Salud advirtió sobre “daños personales y materiales” en clínicas iraníes tras recientes explosiones, y pidió a todas las partes evitar que pacientes, médicos y centros resulten afectados por nuevos enfrentamientos bélicos
