
膠芽腫は、悪性脳腫瘍の中で最も一般的で致死性の高い腫瘍です。標準治療には、外科的切除、放射線療法、テモゾロミド化学療法の3つの現在の治療軸が含まれます。
しかし、治療の効力にもかかわらず、生存期間中央値は15ヵ月を超えず、診断から5年を超えて生存する患者はわずか10%である。
腫瘍細胞が周囲の健康な組織に侵入して浸潤する能力と、放射線化学療法に対する耐性のために、治療の有効性は限られています。この意味で、膠芽腫に対する現在の治療管理は、避けられない腫瘍の再燃に対する一時的な障壁に過ぎない。
これらの限界により、主に腫瘍細胞の根絶により効果的な薬剤の同定に基づく新しい治療アプローチの探索が促された。
細胞死に対する耐性は、腫瘍細胞の特徴の1つであり、再発の主な原因の1つです。実際、化学療法の失敗の主な原因は、細胞死の活性化の失敗です。
細胞死は、さまざまな細胞内経路の活性化によって起こります。適切に機能しない細胞は、それが属する組織または器官が適切に機能することを保証するために、容赦なく排除されなければならない。したがって、この目的のためにさまざまな細胞内代替品が存在することは驚くべきことではありません。細胞の環境と内部状況は、細胞死の特定のメカニズムまたはサブルーチンの活性化において中心的な役割を果たします。
抗腫瘍治療の最終的な目標は、活性化された細胞死サブルーチンとは無関係に、悪性細胞を排除することです。しかし、基本的な知識から、活性化された細胞内経路は、細胞自体の排除ではなく、死にかけている細胞とその隣接細胞との間の細胞間コミュニケーションにおいて決定的であることが示されています。この対話は、腫瘍そのものの進行に極めて重要です。
この点に関して、そして一例として、炎症誘発性の細胞外の状況は、しばしば神経膠芽腫の侵襲性の増加と関連している。炎症を引き起こさない細胞死の唯一のサブルーチンはアポトーシスです。
それどころか、壊死性細胞死または壊死は、非常に炎症性の高い環境を作り出します。膠芽腫細胞は、さまざまなアポトーシス促進の課題にさらされると、アポトーシスよりも壊死に近い細胞死過程を特徴とする。
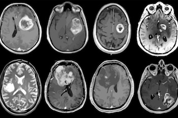
膠芽腫腫瘍細胞の除去が困難
アポトーシスは、カスパーゼと呼ばれる一連のタンパク質の活性化によって特徴付けられます。それらは細胞内の他のタンパク質を断片化し、生命に不可欠な細胞機構を整然と解体します。
アポトーシスの重要なポイントの一つは、DNAと細胞核の破壊であり、細胞死が再発しない点を示しています。この目的のために、カスパーゼはDFF40/CADとして知られるDNA(エンドヌクレアーゼ)を切断するタンパク質を活性化します。
このタンパク質は、アポトーシスを他の細胞死と区別する2つの生物学的プロセス、すなわちDNAの特異的分解と細胞核の断片化を最終的に担っています。
その不活性形態では、細胞質に局在する。この位置は、カスパーゼによって活性化され、その後、核に送られてDNAを断片化するために重要です。
膠芽腫には、カスパーゼが前述のタンパク質の活性化を困難にする2つの異常があります。1つ目は、他の腫瘍と比較してこのエンドヌクレアーゼの発現レベルが低く、2つ目は、このタンパク質の細胞核内での異常な位置です。
両方の特性が加わり、細胞核とその成分の解体が妨げられます。このシナリオでは、死にかけている腫瘍細胞が、アポトーシスがもたらすノーリターンのポイントのしきい値を超えることは困難になります。
腫瘍細胞の核を断片化する薬物:ゴシポール
これらの腫瘍細胞がDFF40/CADを発現し続けるという事実に勇気づけられて、このタンパク質を活性化し、細胞核の断片化を促進する薬剤の探索を開始しました。
テストされた薬の中で、ゴシポールは私たちに最高の結果をもたらしました。ゴシポールは、ゴシピウム属の綿花植物から抽出される化合物です。19世紀後半に感光性の高い黄色の顔料として初めて単離されました。
また、綿花の種子から抽出された油から食品用に検出される副産物でもあります。その消費は男性の生殖能力の低下と関連しており、科学界の関心を呼び起こしました。
男性の避妊薬としての可能性にもかかわらず、ゴシポールはそのように市場に出たことはありません。現在、抗腫瘍特性について広く研究されている実験薬です。私たちの研究室では、高濃度ではゴシポールが神経膠芽腫細胞の核分裂を促進し、細胞死で再発しない点を越えることを余儀なくされることが示されています。
ゴシポールは、神経膠芽腫の治療に有用な新薬の発見における最初のリンクです。現在、このタイプの腫瘍がノーリターンのポイントを超えてアポトーシスを活性化する際の限界は、適切な薬物を使用することで克服できることがわかっています。
したがって、現在不治の病であるこのタイプの癌に対する新しい治療法とより効果的な戦略を開発するために、新しい研究ラインが開かれています。
今後数年間でゴシポールに似た機能を持つ新薬が登場し、神経膠芽腫がもたらす治療上の課題に立ち向かい、他の侵攻性腫瘍を信頼できるようにすることを願っています。
The Conversationに掲載された記事-リェイダ大学薬理学准教授Judit RibasFortuny、Jordi Bruna Escuer、ベルヴィッチェ・イコ大学病院ロアピタレット神経腫瘍学ユニットコーディネーター、ベルヴィッチ・バイオメディカル研究所(IDIBELL)、およびVictor Joséユステ・マテオス、バルセロナ自治大学生化学および分子生物学大学の准教授。
読み続ける:
Más Noticias
Calendario lunar de marzo 2026: cómo se verá la luna desde Perú
En los siguientes días, el astro más cercano al planeta embellecerá las noches con estas fases

Stella del Carmen arropa a Antonio Banderas en la Semana Santa de Málaga junto a su marido Alex Gruszynski: la familia junto a Nicole Kimpel
La hija de Antonio Banderas no ha dudado en acudir junto a su marido a la cita anual del actor en la Semana Santa de Málaga

Privan de la libertad a Carmiña Castro, repostera y creadora de contenido, en Culiacán
La joven, conocida por su negocio “Rosa Dely”, permanece desaparecida; las autoridades ya activaron el Protocolo Alba

Comprobar Super Once: los números ganadores del Sorteo 1 de este 30 marzo
Juegos Once compartió la combinación ganadora del sorteo 1 de las 10:00 horas. Tenemos los números ganadores aquí mismo.

La predicción de la Aemet para Semana Santa: fuertes rachas de viento, nieve y un ascenso térmico con máximas cerca de los 30 grados
Los meteorólogos esperan cielos despejados durante las próximas jornadas, salvo en el tercio norte y Baleares, donde caerán lluvias débiles
